Ngày 22/7, thông tin từ Bệnh viện Đa khoa S.I.S Cần Thơ cho biết, tại đây vừa can thiệp cấp cứu thành công cho bé gái 12 tuổi, bị vỡ dị dạng mạch máu não, búi dị dạng phức tạp, nguy hiểm. Trường hợp may mắn trên là bé H.H.X.A (12 tuổi, quê ở tỉnh Sóc Trăng), nhập viện trong tình trạng đau đầu nhiều và yếu nửa người trái.
Khai thác bệnh sử của bác sĩ từ phía gia đình ghi nhận, hơn 1 tháng qua bé A có biểu hiện đau đầu, chóng mặt, ăn không ngon, ăn không có mùi vị. Tuy nhiên, gia đình lại cho rằng tình trạng trên là do trẻ học nhiều nên chậm trễ đưa đến bệnh viện.
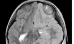
![]() |
| Túi giả phình mạch máu não của bệnh nhân trên hình ảnh kiểm tra |
BS Ngô Minh Tuấn, Trưởng khoa Chẩn đoán Hình ảnh, Bệnh viện S.I.S Cần Thơ, cho biết, bệnh nhi đã bị xuất huyết não do vỡ dị dạng thông động tĩnh não AVM và có túi giả phình lớn (kích thước 3x3mm) trong búi dị dạng. Đây là tình trạng rất nguy hiểm, các bác sĩ đã tức tốc can thiệp xử lý vị trí mạch máu dị dạng bị vỡ và tắc túi giả phình giúp bệnh nhân qua nguy kịch.
Sau can thiệp và chăm sóc tích cực sức khỏe bệnh nhân đã ổn định, nhưng còn yếu nhẹ chân trái. Trẻ sẽ được tiếp tục được tập vật lý trị liệu phục hồi chức năng.
Theo phân tích của BS Tuấn, đa số các trường hợp dị dạng mạch máu não thường không có triệu chứng hoặc có những triệu chứng nhưng không điển hình khi chưa vỡ như đau đầu, co giật, động kinh… dễ bỏ sót hoặc chẩn đoán nhầm với các bệnh lý khác.
![]() |
| Sức khỏe bệnh nhân đang bình phục tốt sau khi được các bác sĩ can thiệp cấp cứu |
Đối với trường hợp ổ dị dạng đã vỡ gây xuất huyết não, bệnh nhân sẽ có những triệu chứng điển hình như đau đầu dữ dội, yếu liệt tay/chân, lơ mơ, hôn mê. Nếu không được chẩn đoán và xử trí kịp thời bệnh nhân có thể dẫn đến tử vong. Khi có các triệu chứng bất thường như đau đầu, co giật, động kinh cần đến bệnh viện để được chẩn đoán, can thiệp kịp thời.

