Ngày 12/7, TS.BS Trần Chí Cường, Giám đốc Bệnh viện Đa khoa S.I.S Cần thơ cho biết, tại đây vừa tiếp nhận và kịp thời can thiệp cho một trường hợp nguy kịch. Bệnh nhân là ông V.B.S (58 tuổi, quê Cần Thơ) được cơ sở y tế địa phương chuyển đến trong tình trạng hôn mê.
![]() |
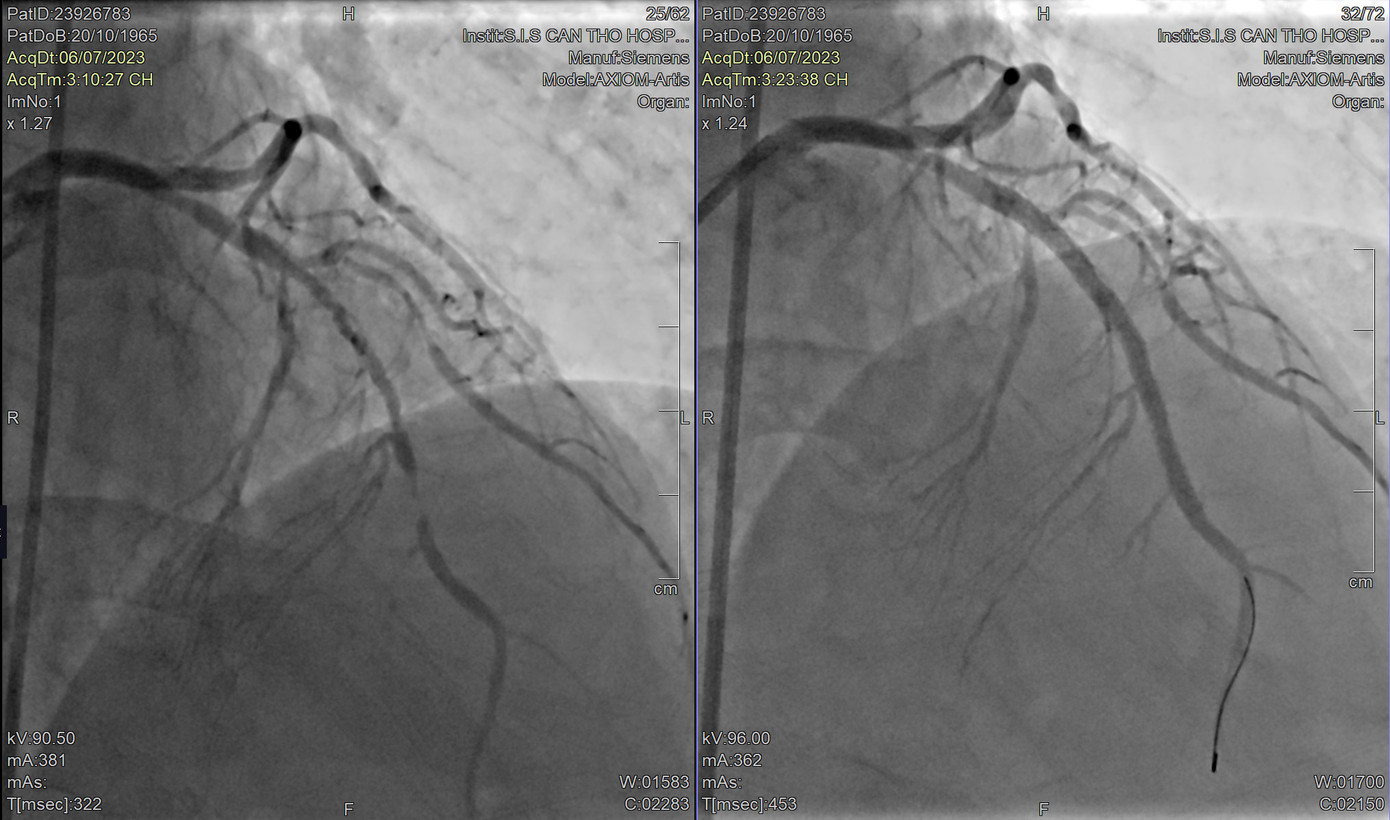
| Động mạch vành của bệnh nhân trước can thiệp bị tắc nghẽn, sau can thiệp được tái thông hoàn toàn |
Người nhà bệnh nhân cho biết, sáng cùng ngày ông S. bị đau ngực nhưng vẫn đi làm. Sau khi kết thúc công việc, trên đường về nhà, ông S. đột ngột ngã gục và được đưa vào Trung tâm Y tế quận Ô môn (thành phố Cần Thơ) cấp cứu trong tình trạng ngưng tim, ngưng thở. Các bác sĩ đã tiến hành hồi sức tim phổi giúp ông có nhịp tim trở lại sau đó đặt nội khí quản, khẩn cấp chuyển đến Bệnh viện Đa khoa S.I.S.
Tại đây, kết quả điện tim cho thấy bệnh nhân bị nhồi máu cơ tim cấp gây tắc động mạch vành, nguy kịch tính mạng. Ngay lập tức, người bệnh được chuyển đến phòng can thiệp DSA. Sau khi can thiệp khẩn nguy, các bác sĩ đã đặt thành công stent tái thông vị trí động mạch vành nuôi tim, giúp bệnh nhân qua cơn nguy kịch, sức khỏe nhanh chóng bình phục.
![]() |
| Nỗ lực của bác sĩ đã giúp người bệnh vượt qua nguy kịch |
BS Nguyễn Đức Chỉnh, Trưởng khối Nội Tim mạch – Tim mạch Can thiệp Bệnh viện S.I.S Cần Thơ cho biết, đối với những trường hợp tắc động mạch vành nếu không được điều trị khẩn cấp thì bệnh nhân có thể tử vong nhanh, tỷ lệ tử vong rất cao (lên đến 70%).
Phân tích chuyên môn của BS Chỉnh chỉ ra, bệnh nhân nhồi máu cơ tim có thể đau âm ỉ nhiều ngày hoặc đau cấp tính. Đối với nhồi máu cơ tim nếu mạch máu không tắc hoàn toàn dấu hiệu sớm của nhồi máu cơ tim chính là đau ngực. Những trường hợp có hẹp nặng nhiều nhánh mạch vành, biểu hiện sẽ là đau ngực kèm khó thở khi gắng sức.
Từ trường hợp trên, bác sĩ cảnh báo người bệnh không nên bỏ qua những dấu hiệu bất thường của cơ thể mà cần chủ động thăm khám, theo dõi tại các bệnh viện chuyên khoa sâu, tránh những diễn tiến xấu có thể xảy ra.

