Trường hợp thứ nhất là bé gái L.T.N (18 tháng tuổi, ngụ Thành phố Thủ Đức) nhập viện sau 1 ngày sốt cao 39 độ C kèm co giật toàn thân. Bác sĩ ghi nhận, bệnh nhi trong tình trạng lơ mơ, tần suất co giật toàn thân diễn ra liên tục xen kẽ với những đợt co giật nửa người bên phải.
Sau khi đặt nội khí quản hỗ trợ thở máy, các bác sĩ tiến hành MRI sọ não của bệnh nhi và ghi nhận, tình trạng tổn thương ở bán cầu não trái. Bệnh nhi được điều trị với steroid liều cao, chống phù não. Sau 3 ngày điều trị, tri giác của bé có dấu hiệu cải thiện và dần được cai máy thở. Dù còn yếu nửa người phải, bé tiếp tục điều trị thuốc động kinh, vật lý trị liệu vận động. Hiện sức khỏe của trẻ đã bình phục tốt.
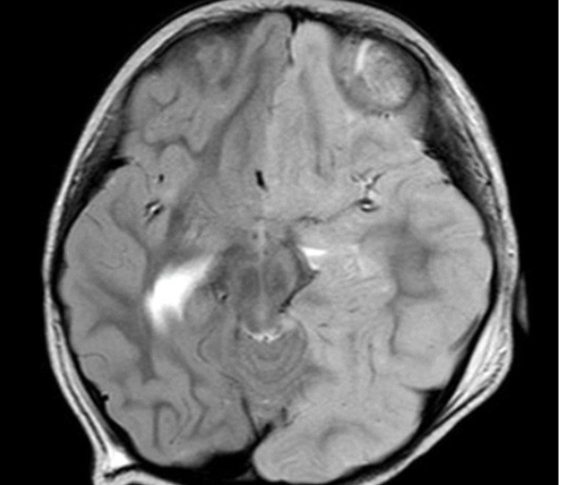
![]() |
| Hình ảnh MRI chuỗi xung T2W của bệnh nhân N.H.X (ảnh: BVCC) |
Trường hợp thứ hai là bé gái N.H.X (3 tuổi, ngụ tại TPHCM) nhập viện sau 1 ngày sốt cao và lên cơn co giật kéo dài khoảng 30 phút. Sau khi nhập viện, trẻ tiếp tục bị co giật toàn thân nhiều lần xen kẽ co giật miệng và tay phải. Sau co giật, bệnh nhi rơi vào tình trạng hôn mê, suy hô hấp phải hỗ trợ thở máy.
Khai thác bệnh sử của bác sĩ từ người nhà ghi nhận, trẻ có tiền căn động kinh từ lúc 14 tháng tuổi. “Kết quả MRI sọ não cho thấy bệnh nhi có tổn thương kèm phù não toàn bộ nửa bán cầu trái, đẩy lệch đường giữa sang phải, bán cầu não phải bị ép xẹp. Chúng tôi đã hội chẩn và quyết định sử dụng steroid liều cao cùng kháng thể Globulin cho trẻ” - BS Việt chia sẻ.
Qua 10 ngày tích cực điều trị, tri giác bệnh nhi dần cải thiện, trẻ được cai máy thở và tiếp tục được điều trị nội khoa kết hợp vật lý trị liệu với mục tiêu phục hồi tình trạng yếu nửa người.
Theo BS Đỗ Châu Việt, cả hai bệnh nhi nhập viện trong bệnh cảnh là sốt, co giật và rối loạn tri giác. Đây là biểu hiện điển hình của hội chứng động kinh co giật nửa người - liệt nửa người (hemiconvulsion-hemiplegia-epilepsy (HHE) syndrome). Hội chứng HHE là một bệnh hiếm gặp, được phát hiện lần đầu vào năm 1960.
Phân tích chuyên môn của BS Việt chỉ ra: “Hội chứng HHE có trạng thái co giật nửa người kéo dài xảy ra ở nhóm trẻ dưới 4 tuổi khi bị sốt, gây liệt nửa người cùng bên co giật và teo não bán cầu đối diện. Nguyên nhân và tác nhân gây bệnh vẫn chưa rõ ràng, nhiều giả thuyết cho rằng trẻ mắc bệnh có thể do miễn dịch và chuyển hóa. Không chỉ là bệnh hiếm, người mắc hội chứng HHE thường tiên lượng xấu, di chứng thần kinh và khả năng kháng thuốc động kinh cao”.
Bác sĩ Việt nhấn mạnh: “Ở giai đoạn cấp tính, bệnh nhân xuất hiện nhiều cơn co giật khó kiểm soát, tổn thương và phù não một bên bán cầu não. Nếu không kiểm soát tốt, bệnh nhân có thể liệt nửa người suốt đời, di chứng não và sống đời sống thực vật, thậm chí có thể tụt não dẫn đến tử vong”.
