Từ thú vui đến ác mộng
Ngày 23/3, thông tin từ Bệnh viện Nhân Dân 115 (TPHCM) cho biết về một trường hợp điển hình hút shisha dẫn tới đột quỵ.
PGS.TS.BS Nguyễn Huy Thắng, Trưởng khoa Bệnh lý Mạch máu Não, Bệnh viện Nhân Dân 115 TPHCM cho biết, vừa tiếp nhận một thanh niên 22 tuổi (quê Cà Mau), nhập viện trong tình trạng đau đầu dữ dội. Kết quả chụp CT-scan cho thấy bệnh nhân bị xuất huyết não. Hình ảnh cộng hưởng từ phát hiện huyết khối tại nhiều vị trí trong hệ thống tĩnh mạch não của người bệnh.
Qua khai thác bệnh sử, các bác sĩ ghi nhận bệnh nhân có thói quen hút shisha thường xuyên hơn một năm qua, tần suất hút ngày càng tăng.
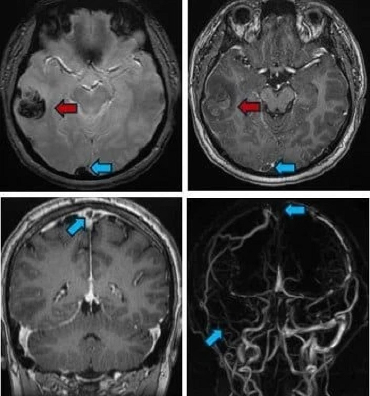
![]() |
| Bệnh nhân bị xuất huyết não vùng thái dương phải (mũi tên đỏ); huyết khối xoang tĩnh mạch dọc trên, xoang ngang – xoang sigma, tĩnh mạch vỏ não đính 2 bên (mũi tên xanh) |
Sau chẩn đoán, các bác sĩ đã chỉ định điều trị cho người bệnh bằng thuốc kháng đông. Sau quá trình điều trị, sức khỏe của bệnh nhân đã bình phục tốt.
Theo PGS Huy Thắng, đây không phải là trường hợp hiếm gặp. Huyết khối tĩnh mạch não (CVT) – tình trạng cục máu đông hình thành trong tĩnh mạch não là một biến chứng nguy hiểm liên quan trực tiếp đến việc hút shisha.
“Khói shisha chứa nicotine, carbon monoxide và hàng loạt chất độc khác làm tăng khả năng đông máu, tổn thương mạch máu và gây ứ trệ dòng máu. Một giờ hút shisha tương đương với việc hít lượng khói gấp 100 - 200 lần một điếu thuốc lá” – PGS Huy Thắng nhấn mạnh.
Không dừng lại ở đó, shisha còn gây ra hàng loạt vấn đề sức khỏe khác như bệnh phổi, tim mạch và ung thư. Khói shisha không chỉ ảnh hưởng đến người hút mà còn đe dọa sức khỏe của những người xung quanh qua hít khói thuốc thụ động. Chưa kể, việc dùng chung ống hút trong nhóm bạn bè còn làm tăng nguy cơ lây lan các bệnh truyền nhiễm như lao hay viêm gan.
Nguy hiểm khôn lường
Trước thực trạng ngày càng nhiều người trẻ sa đà vào shisha, PGS Huy Thắng cảnh báo: Nhiều người lầm tưởng shisha an toàn hơn thuốc lá vì khói được lọc qua nước, nhưng thực tế nước chỉ làm mát khói chứ không loại bỏ chất độc. Nguy cơ huyết khối tĩnh mạch ở người hút shisha cao hơn đáng kể, nhất là khi kết hợp với các yếu tố như ngồi lâu, béo phì hay sử dụng thuốc tránh thai.
![]() |
| Shisha là kẻ thù giấu mặt đối với sức khỏe cần phải được loại bỏ khỏi đời sống xã hội |
Cơ chế gây hại của shisha được các bác sĩ giải thích rõ ràng. Nicotine trong khói kích thích quá trình đông máu, trong khi carbon monoxide làm giảm oxy trong máu, gây áp lực lớn lên hệ tuần hoàn. Các chất độc như kim loại nặng và hợp chất hữu cơ còn làm tổn thương nội mạc mạch máu, tạo điều kiện cho cục máu đông hình thành. Đặc biệt, thói quen ngồi hàng giờ để hút shisha càng làm chậm lưu thông máu, đẩy nguy cơ huyết khối lên mức báo động.
Theo nghiên cứu của các chuyên gia y tế, lượng khói hít vào từ một buổi hút shisha vượt xa thuốc lá thông thường khiến mức độ phơi nhiễm chất độc cao hơn gấp nhiều lần. So với thuốc lá, shisha không chỉ gây hại tương đương mà còn nguy hiểm hơn do thời gian sử dụng kéo dài và lượng khói khổng lồ.
Tại Việt Nam, từ ngày 1/1/2025, việc hút shisha đã chính thức bị cấm theo Nghị quyết 173/2024/QH15 của Quốc hội, nhằm bảo vệ sức khỏe cộng đồng. Tuy nhiên, các bác sĩ cho rằng bên cạnh quy định của luật pháp cần nâng cao nhận thức của người dân.
“Chúng ta đang đối mặt với một hiểm họa thầm lặng. Nếu không hành động ngay, shisha có thể cướp đi sinh mạng của nhiều người trẻ” - PGS Huy Thắng nhấn mạnh.
Các bác sĩ kêu gọi cộng đồng hãy tránh xa shisha và lựa chọn những hình thức giải trí lành mạnh. Sức khỏe là tài sản quý giá, và không thú vui nào đáng để đánh đổi bằng những hậu quả khôn lường. Shisha không phải là niềm vui vô hại, mà là “sát thủ” giấu mặt, cần được loại bỏ khỏi đời sống xã hội.

