Đó là trường hợp bệnh nhân N.N.T. (47 tuổi) được biết, trước khi vào viện cấp cứu, bệnh nhân đang lái xe dịch vụ chở khách. Trên đường trở về, anh T. bất ngờ bị đau ngực dữ dội, sau khi dừng xe bên đường, tài xế đã gục trên vô lăng. Anh đã may mắn được người dân phát hiện và chuyển đến bệnh viện cấp cứu tại một bệnh viện ở tỉnh Vĩnh Long.
![]() |
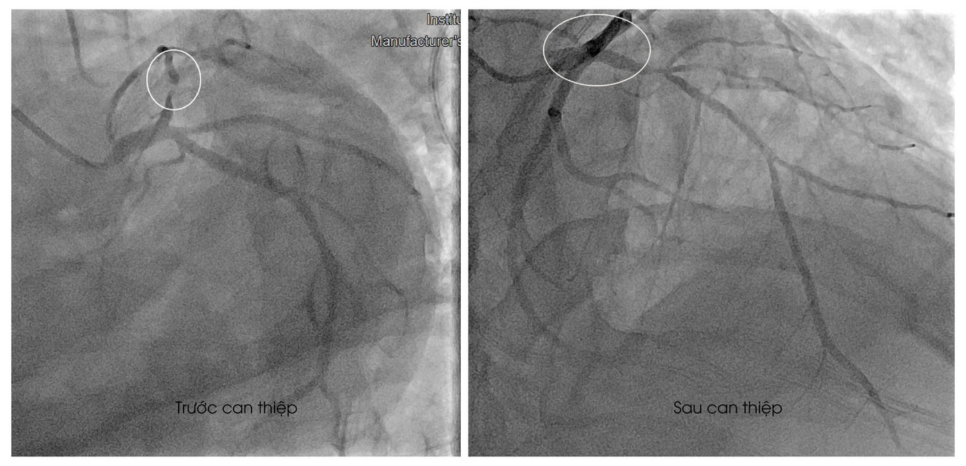
| Hình ảnh mạch máu của bệnh nhân bị tắc trước và sau can thiệp |
Sau 30 phút hồi sinh tim phổi nhưng không mang lại kết quả, bác sĩ đã thông báo cho người nhà để làm thủ tục đưa người bệnh về lo hậu sự. Tuy nhiên, vợ bệnh nhân không chấp nhận sự ra đi của chồng nên đã xin chuyển viện cấp cứu.
“Lúc đó tôi vừa tới bệnh viện, không thể chấp nhận anh ra đi, tôi quyết định chuyển viện để tìm cơ hội sống. Lúc chuẩn bị chuyển anh lên xe tôi thấy chân anh còn cử động nhẹ. Bác sĩ kiểm tra thì có nhịp tim trở lại” – chị M.T. vợ bệnh nhân cho biết.
![]() |
| Nam tài xế đã may mắn qua nguy kịch nhờ quyết tâm của người vợ và nỗ lực của các bác sĩ |
Thời điểm nhập cấp cứu tại Bệnh viện Đa khoa S.I.S Cần Thơ, bệnh nhân trong tình trạng lơ mơ. Qua kiểm tra, bác sĩ xác định bệnh nhân bị nhồi máu cơ tim cấp. Ngay lập tức, người bệnh được chỉ định can thiệp mạch vành. Trong quá trình can thiệp, bác sĩ ghi nhận bệnh nhân bị tắc mạch máu lớn, ê kíp bác sĩ đã đặt stent tái thông mạch máu. Một ngày sau can thiệp, bệnh nhân đã qua được nguy kịch, sức khỏe đang dần bình phục.
Từ trường hợp trên, các bác sĩ cho biết, nhồi máu cơ tim có thể xảy ra ở mọi lứa tuổi, đặc biệt là nhóm bệnh nhân bị tăng huyết áp, đái tháo đường, người hút thuốc lá kéo dài… là các yếu tố nguy cơ gây xơ vữa mạch máu.
Để tránh nguy cơ mắc bệnh, bác sĩ khuyến cáo cộng đồng cần duy trì lối sống lành mạnh, tập thể dục thể thao đều đặn, hạn chế rượu bia chất kích thích; nên ăn nhạt, tăng cường ăn thêm trái cây, rau xanh; ổn định cân nặng ở mức phù hợp; giữ tâm lý thoải mái, tránh căng thẳng kéo dài, kiểm tra sức khỏe định kỳ mỗi 6 tháng đến 1 năm mỗi lần.

