Ngày 24/3, BS Mai Hóa – Phó giám đốc bệnh viện thành phố Thủ Đức cho biết, bệnh viện vừa tiếp nhận, điều trị cho bệnh nhân N.T.L. (nữ, 50 tuổi). Thời điểm nhập viện, bà L. có triệu chứng đau bụng âm ỉ, đau mơ hồ vùng thượng vị và hạ sườn bên trái, tình trạng trên đã kéo dài khoảng 1 tháng.
![]() |
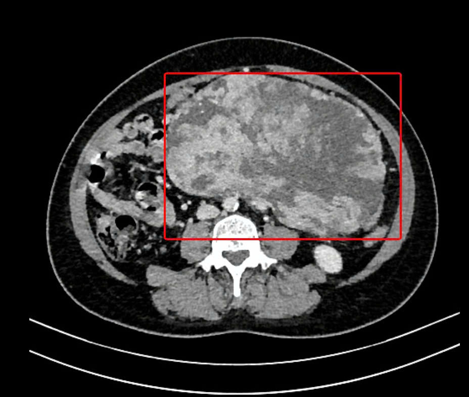
| Hình ảnh kiểm tra ghi nhận khối u có kích thước rất lớn chiếm gần trọn thể tích ổ bụng bệnh nhân |
Qua các kết quả xét nghiệm, kiểm tra hình ảnh, các bác sĩ chẩn đoán bệnh nhân có khối u kích thước lên tới 20x18x13cm chiếm khoảng 60% thể tích ổ bụng, chèn ép các tạng phủ. Các bác sĩ nghi ngờ bệnh nhân bị u mô đệm đường tiêu hóa (GIST). Đây là dạng u hiếm gặp có tính chất ác tính, phát triển trong thành của hệ thống ống tiêu hoá xuất phát từ dạ dày.
Để tránh nguy hiểm cho người bệnh, ê kíp bác sĩ đã thực hiện cuộc phẫu thuật cắt khối u. Là người trực tiếp thực hiện cuộc phẫu thuật, BS Mai Hóa cho biết: Đây là một ca bệnh phức tạp do khối u dạ dày có kích thước lớn, tăng sinh mạch máu nuôi nhiều, dính vào các tạng xung quanh.
![]() |
| Các bác sĩ thực hiện cuộc phẫu thuật bóc trọn khối u cho người bệnh |
Sau 3 giờ thực hiện ca phẫu thuật, ê kíp bác sĩ đã cắt trọn khối u có trọng lượng lên tới 3,5kg ra khỏi cơ thể bệnh nhân. Sau phẫu thuật, sức khỏe của bà L đang dần cải thiện. Người bệnh đang được theo dõi và thực hiện sinh thiết mô bệnh phẩm để có giải pháp điều trị phù hợp trong thời gian tới.
Từ trường hợp trên, các bác sĩ khuyến cáo cộng đồng cần đi khám sức khỏe định kỳ mỗi 6 tháng đến 1 năm một lần. Khi có các triệu chứng bất thường như đau bụng mơ hồ kéo dài, khó tiêu, chán ăn, sụt cân không rõ nguyên nhân, nôn ói ra máu, tiêu phân đen hoặc phân máu nên đến ngay các cơ sở y tế để được thăm khám, chẩn đoán và điều trị kịp thời.

