Đó là trường hợp nam thanh niên N.T.T. (23 tuổi, ngụ tại tỉnh Long An) vừa được cấp cứu tại một bệnh viện ở địa phương. Theo bệnh sử T.T. là diễn viên xiếc đường phố hành nghề tự do. Trước khi nhập viện, anh đang biểu diễn tiết mục nuốt kiếm thì có cảm giác đau họng, nuốt vướng và khó thở.
![]() |
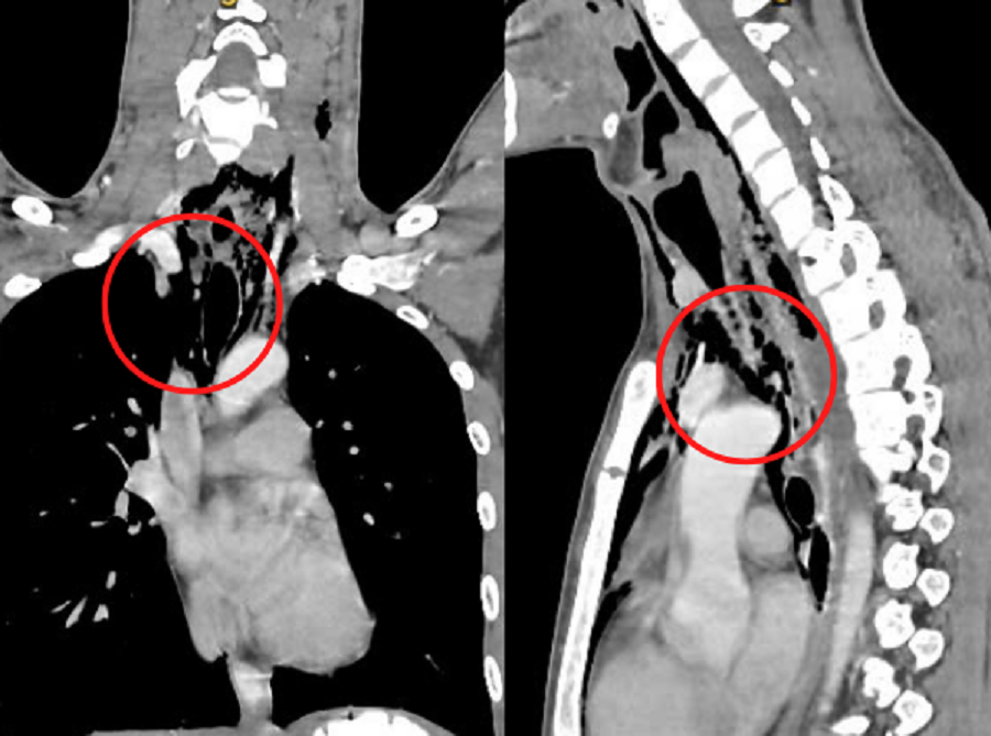
| Hình ảnh kiểm tra cho thấy vị trí thực quản bị lưỡi kiếm đâm thủng (khu vực khoanh tròn) |
Ngay sau đó T. rút kiếm ra khỏi miệng và nhanh chóng đến bệnh viện cấp cứu. Qua nội soi, các bác sĩ ghi nhận, bệnh nhân bị rách thực quản khoảng 7mm (đoạn 1/3 trên). Hình ảnh kiểm tra lồng ngực cho thấy, người bệnh bị tràn khí trung thất và mô mềm vùng cổ.
Sau khi hội chẩn, các bác sĩ quyết định đặt sonde dạ dày, nuôi dưỡng cơ thể hoàn toàn bằng đường truyền tĩnh mạch, điều trị nội khoa kết hợp theo dõi sát tình trạng lâm sàng. Sau 24 giờ, người bệnh được thăm khám lại, kết quả cho thấy tình trạng ổn định, không có dấu hiệu diễn tiến nặng, đáp ứng tốt với thuốc. Người bệnh không còn đau, không nuốt vướng, ăn uống bình thường.
Từ trường hợp trên, bác sĩ khuyến cáo những ai tham gia diễn xiếc hoặc thực hiện các tiết mục nguy hiểm, cần hết sức thận trọng để hạn chế tai nạn có thể xảy ra. Nếu không may xảy ra tai nạn, cần nhanh chóng đến bệnh viện để được điều trị kịp thời, hạn chế những biến chứng nguy hiểm, tăng cơ hội phục hồi sớm.
