Bệnh nhân là bà T.T.T (70 tuổi, Tây Ninh) nhập viện trong tình trạng đau bụng quặn từng cơn, buồn nôn, bí đại tiện, bụng chướng. Dựa trên triệu chứng bệnh, các bác sĩ nhận định đây là bệnh cảnh tắc ruột điển hình ở bệnh nhân lớn tuổi do khối u ống tiêu hóa.
![]() |
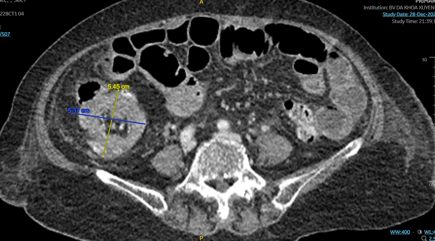
| Hình ảnh CT cho thấy vị trí bất thường trong ổ bụng của người bệnh |
Bệnh nhân được chỉ định chụp CT-Scanner bụng chậu phát hiện một khối lồng ruột non vào đại tràng tại góc hồi - manh tràng có kích thước lớn. Các bác sĩ chẩn đoán người bệnh bị lồng ruột hồi manh tràng do khối u manh tràng.
Trước tình trạng nhiễm trùng hoại tử nguy hiểm tính mạng, bệnh nhân đã được chỉ định phẫu thuật cấp cứu cắt đoạn ruột lồng để điều trị nguyên nhân, giải quyết tình trạng lồng ruột. Trong quá trình phẫu thuật, các phẫu thuật viên đã cắt đoạn đại tràng phải và hồi tràng dưới chỗ lồng gần 15cm, đưa hai đầu ruột ra làm hậu môn nhân tạo. Sau phẫu thuật, sức khỏe bệnh nhân đang dần bình phục.
Các bác sĩ cho biết, đây là trường hợp biến chứng của khối u đường tiêu hóa dẫn đến bệnh cảnh lồng ruột, dễ diễn tiến nặng gây hoại tử ruột do thiếu máu. Từ tình trạng của bệnh nhân, bác sĩ cảnh báo các khối u đường tiêu hóa thường phát triển trong thời gian dài nên triệu chứng ban đầu thường không điển hình, chỉ là các biểu hiện rối loạn thói quen đại tiện, các cơn đau bụng ngắn, điều này khiến người bệnh hay chủ quan bỏ qua.
![]() |
| Sau phẫu thuật, sức khỏe của bệnh nhân đang bình phục tốt |
Nếu chậm trễ điều trị, bệnh sẽ diễn tiến nặng, khối u phát triển lớn, gây biến chứng. Lồng ruột là 1 biến chứng nguy hiểm có thể khiến đoạn ruột lồng thiếu máu dẫn đến hoại tử, nguy cơ viêm phúc mạc dẫn tới tử vong.
Từ trường hợp trên, bác sĩ khuyến cáo người dân trên 40 tuổi (đặc biệt là những người có người thân bị ung thư đường tiêu hóa) nên đi nội soi tiêu hóa mỗi 5 năm một lần để tầm soát, phát hiện sớm các tổn thương, u trong ống tiêu hóa.
Đặc biệt, những người có thay đổi thói quen đại tiện, hình dạng phân, thường đau bụng quặn từng cơn, kèm buồn nôn, bí trung – đại tiện thì không nên chủ quan bỏ sót triệu chứng, hãy đến các cơ sở y tế uy tín để được bác sĩ chuyên khoa thăm khám và điều trị kịp thời tránh các biến chứng đáng tiếc.

