Vào những ngày trời nắng nóng, nhiều người thích uống nước ngọt và uống được khá nhiều. Nhưng không ít người đã giật mình vì sự cố vừa xảy ra: Một thanh niên 22 tuổi đã qua đời sau khi uống hết sạch một chai nước ngọt loại 1,5 lít trong vòng 10 phút.
Theo thông tin từ truyền thông thì thanh niên này, không được ghi rõ tên, đã phải vào Bệnh viện Triều Dương ở Bắc Kinh (Trung Quốc) sau 6 giờ kể từ khi uống chai nước. Khi vào viện, anh ấy nói rằng rất đau và trướng bụng rồi kể với bác sĩ về việc mình uống nước ngọt như trên.
![]() |
| Sự cố đã xảy ra với một thanh niên sau khi anh uống hết 1,5 lít nước ngọt trong 10 phút. Ảnh minh họa: DrGalland. |
Khi ấy, các bác sĩ đã thấy rằng ở thanh niên này có nhiều dấu hiệu “đáng lo”, như tim đập rất nhanh, thở gấp, huyết áp thấp, mặc dù anh ấy được cho là không có bệnh nền.
Việc chụp chiếu sau đó đã cho thấy anh này bị trướng khí trong ruột và tĩnh mạch cửa, và bị một tình trạng gọi là “sốc gan”, tức là tổn thương do thiếu oxy đến gan.
Các bác sĩ đã cấp cứu ngay cho bệnh nhân nhưng sau 12 tiếng, các xét nghiệm máu cho thấy anh bị tổn thương gan nghiêm trọng. Sau 18 tiếng thì anh qua đời.
Theo các bác sĩ, việc thanh niên này uống nước ngọt nhiều và nhanh dẫn tới tích tụ khí trong cơ thể, khiến gan bị thiếu oxy, gây tử vong.
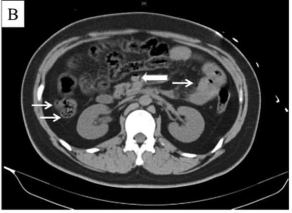
![]() |
| Khí tích tụ ở thành ruột (những mũi tên mảnh) và tĩnh mạch mạc treo tràng trên (mũi tên đậm) của bệnh nhân. Ảnh: Mail Online. |
Tuy nhiên, ông Nathan Davies, một nhà Hóa Sinh ở ĐH London (Anh), thì nói với tờ Mail Online: “Việc chỉ uống 1,5 lít nước ngọt bình thường mà tử vong là rất, rất hiếm, khả năng đó thấp đến đáng kinh ngạc”. Cho nên ông nghĩ rằng, có thể thanh niên nói trên tử vong không phải do uống nước ngọt nhiều và nhanh, mà vì một lý do khác, chẳng hạn một bệnh nền chưa được biết đến.
Ông Davies cũng suy đoán rằng, có thể lý do là bệnh nhân bị nhiễm khuẩn khiến khí tích tụ trong đường ruột, còn việc uống nước ngọt nhiều và nhanh chỉ tác động thêm vào mà thôi.
![]() |
| Một chuyên gia Hóa Sinh ở Anh lại cho rằng, khó có khả năng chỉ vì uống nhiều nước ngọt mà gây tử vong ngay được. Ảnh minh họa: TOI. |
Dù sao, ông Davies, cũng như các chuyên gia y tế khác trên thế giới, khẳng định rằng việc uống nước ngọt thường xuyên có thể gây hại cho sức khỏe, nhất là về lâu dài.
![]() |



