Ngày 15/11, BS Nguyễn Thị Tâm, Khoa Hồi sức Tim mạch, Bệnh viện Thành phố Thủ Đức cho biết, bệnh viện này vừa tiếp nhận cấp cứu một nữ bệnh nhân 47 tuổi nhập viện trong tình trạng đau ngực, khó thở, chân sưng to.
Bệnh nhân cho biết, khoảng 4 năm qua, bệnh nhân tránh thai bằng phương pháp uống thuốc và tự mua thuốc về sử dụng.
Qua chẩn đoán bằng hình ảnh, các bác sĩ phát hiện động mạch phổi hai bên của người bệnh bị huyết khối lớn che lấp hoàn toàn và chẩn đoán bệnh nhân bị thuyên tắc phổi nên chuyển đến khoa Hồi sức Tim mạch. Tại đây, bệnh nhân đã rơi vào tình trạng khó thở, suy hô hấp, giảm ô xy, nhịp tim nhanh và huyết áp thấp. Các bác sĩ chỉ định dùng tiêu sợi huyết truyền qua đường tĩnh mạch cho người bệnh.
BS Tâm cho biết, sau khi truyền tiêu sợi huyết 1 giờ, bệnh nhân hết khó thở, ô xy và huyết áp cải thiện. Bên cạnh đó, bệnh nhân được sử dụng thuốc chống đông, sau 5 ngày điều trị, sức khỏe đã bình phục tốt.
Theo BS Tâm, thuyên tắc phổi do huyết khối là một bệnh lý cấp cứu thường gặp và khả năng gây nguy cơ tử vong lên tới 60%. Các thống kê cho thấy, tỷ lệ thuyên tắc huyết khối tĩnh mạch ở phụ nữ trong độ tuổi sinh đẻ chiếm tỷ lệ 1/10.000 trong 1 năm, tỷ lệ này tăng gấp 3-5 lần nếu uống thuốc ngừa thai có chứa estrogen.
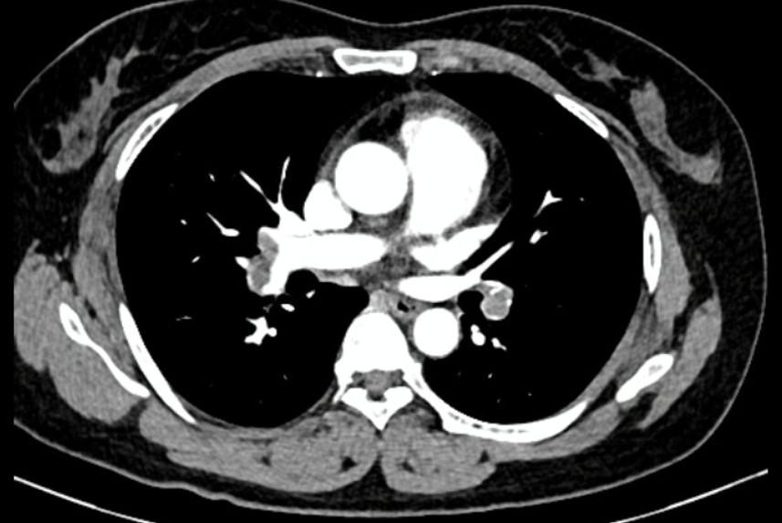
![]() |
| Hỉnh ảnh kiểm tra cho thấy người bệnh bị thuyên tắc động mạch phổi cả 2 bên |
Theo phân tích của BS Nguyễn Thị Ngọc Bích, Khoa Sản, Bệnh viện Thành phố Thủ Đức, thuốc ngừa thai chứa estrogen làm tăng nồng độ huyết thanh các yếu tố đông máu, giảm yếu tố chống đông tự nhiên như protein S và giảm hoạt tính tiêu sợi huyết. Tỷ lệ huyết khối tĩnh mạch sâu và thuyên tắc huyết khối tăng lên khi liều estrogen tăng lên. Với các viên thuốc ngừa thai phối hợp có chứa từ 10-35 mcg estrogen, nguy cơ sẽ cao gấp 2- 4 lần so với nguy cơ ban đầu.
Các bác sĩ khuyến cáo, hiện có rất nhiều biện pháp tránh thai như dùng viên thuốc ngừa thai uống, đặt vòng, miếng dán tránh thai, cấy que, triệt sản… Tuy nhiên, muốn tránh thai an toàn, hiệu quả, các chị em cần thăm khám và được tư vấn bởi các bác sĩ chuyên khoa. Các bác sĩ sẽ căn cứ vào điều kiện sức khỏe, cơ địa, bệnh nền xơ vữa động mạch, tài chính hoặc sự yêu thích để chọn ra biện pháp và liệu trình sử dụng phương pháp tránh thai phù hợp nhất cho từng người.
