Ngày 23/5, thông tin từ Bệnh viện Nhi Đồng 1 TPHCM cho biết, tại đây vừa tiếp nhận trường hợp nuốt dị vật vào đường tiêu hóa là những viên bi nam châm. Bệnh nhi phải thực hiện phẫu thuật để lấy dị vật, tránh biến chứng nguy hiểm có thể xảy ra.
Bệnh nhi là N.V.P (2 tuổi, ngụ tại tỉnh Bến Tre) nhập viện cấp cứu trong tình trạng đau bụng quằn quại. Khai thác bệnh sử của bác sĩ từ người nhà ghi nhận, 2 ngày trước khi vào viện trẻ đang ngậm món đồ chơi là những viên bi nam châm dạng tháo rời từng viên thì vô tình nuốt vào bụng.
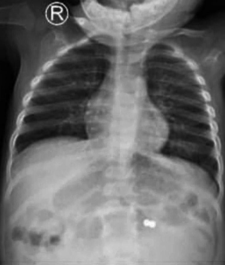
![]() |
| Nuốt bi nam châm là tai nạn rất nguy hiểm, nhiều trẻ đã bị thủng ruột |
Sau thăm khám, bác sĩ tiến hành chụp X-quang vùng bụng thì phát hiện 2 dị vật cản quan có hình tròn. Tại khoa Ngoại Tổng hợp, bệnh nhi được chỉ định phẫu thuật lấy dị vật.
Trong quá trình thực hiện cuộc mổ, ê kíp phát hiện 2 viên nam châm hít vào nhau đã gây ra 5 lỗ thủng ở ruột non của bệnh nhi. Sau khi lấy dị vật ra khỏi cơ thể bệnh nhi, bác sĩ đã khâu các lỗ thủng ở ruột non. Hiện sức khỏe bệnh nhi đang dần bình phục.
Từ trường hợp trên, bác sĩ cảnh báo, đã có rất nhiều trường hợp trẻ nuốt dị vật như hạt nhãn, hạt hồng xiêm, nuốt tăm xỉa răng, thậm chí có trẻ lớn nuốt cả bàn chải đánh răng. Nhiều trường hợp hóc dị vật dẫn đến tử vong, có những trẻ đã đối mặt với di chứng suốt đời. Nguy cơ tai nạn nuốt dị vật ở trẻ, đặc biệt là các bé nhỏ luôn tiềm ẩn, phụ huynh cần nâng cao cảnh giác để tránh nguy hiểm cho con em mình.
Để phòng tránh nguy do nuốt dị vật, phụ huynh nên để những vật dụng sắc nhọn xa tầm tay của trẻ. Tuyệt đối không nên cho trẻ chơi những món đồ tháo lắp có kích thước vừa với miệng mà thiếu sự quan sát chặt chẽ của người lớn vì trẻ có thể cho vào miệng ngậm và nuốt trong vô thức. Đối với trẻ lớn hãy cảnh báo trẻ những nguy hiểm của vật sắc nhọn và hướng dẫn cách dùng vật dụng, đồ chơi an toàn.
