| BS Trương Ngọc Nhã chia sẻ thông tin về cuộc can thiệp cho bệnh nhân bị thủng ruột do nuốt đũa |
Ngày 6/8 BS Trương Ngọc Nhã, Trưởng khoa Nội soi, Bệnh viện Đa khoa Xuyên Á cho biết, tại đây vừa tiếp nhận và can thiệp cho một trường hợp bị dị vật bỏ quên trong đường tiêu hóa suốt nhiều tháng. Bệnh nhân là anh T.Đ.D. (29 tuổi, quê Tây Ninh).
Trong một lần ăn nhậu, nam thanh niên đã cao hứng biểu diễn trò nuốt đũa. Sau khi nuốt dị vật, anh cho rằng chiếc đũa sẽ tự ra ngoài theo đường tiêu hóa nên không đến bệnh viện kiểm tra.
![]() |
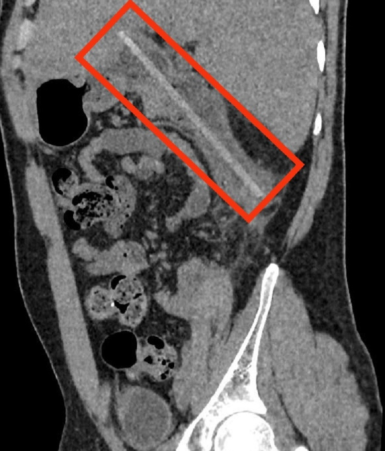
| Hình ảnh CT cho thấy dị vật nằm trong cơ thể của bệnh nhân |
Khoảng 3 ngày trước khi nhập viện, bệnh nhân có biểu hiện đau bụng âm ỉ vùng quanh rốn, cơn đau ngày càng dồn dập và nghiêm trọng phải nhập viện cấp cứu. Ngay khi tiếp nhận, các bác sĩ đã chụp CT và phát hiện có một dị vật giống như que gỗ tại tá tràng của người bệnh.
Sau hội chẩn, các bác sĩ đã quyết định thực hiện cuộc phẫu thuật nội soi để lấy dị vật. BS Ngọc Nhã cho biết, trên hình ảnh của camera nội soi ghi nhận, dị vật là một chiếc đũa tre dài, một đầu đã cắm sâu vào đoạn D2 - D3 tá tràng gây thủng tá tràng.
“Đây là một trường hợp mắc dị vật khá khó khi chiếc đũa quá dài, ê kíp nội soi bắt buộc phải tìm được một đầu của chiếc đũa thì mới rút được ra. Tuy nhiên, nguy cơ gây xâm lấn đến các vùng tạng xung quanh là rất lớn. Sau quá trình kiên trì xoay chuyển chiếc đũa, các bác sĩ đã thành công kéo được dị vật ra ngoài qua đường miệng” – BS Ngọc Nhã nói.
![]() |
| Các bác sĩ đã thực hiện cuộc nội soi lấy thành công chiếc đũa ra khỏi đường tiêu hóa của người bệnh |
Chiếc đũa lấy ra ngoài có chiều dài là 18cm, là loại đũa ăn dùng một lần khá phổ biến. Ngay sau khi rút được dị vật ra, các bác sĩ đã xử lý vị trí thủng tá tràng. Sau nội soi, sức khỏe của người bệnh đã bình phục tốt. Đây là trường hợp dị vật bỏ quên nhưng may mắn chưa đối mặt với những biến chứng nguy hiểm gây nhiễm trùng, viêm phúc mạc.
Từ trường hợp trên, bác sĩ khuyến cáo cộng đồng, nếu nuốt phải dị vật cần đến ngay cơ sở y tế uy tín để bác sĩ thăm khám và chỉ định nội soi. Việc phát hiện sớm dị vật và can thiệp kịp thời sẽ giúp bệnh nhân tránh được các biến chứng nguy hiểm có thể xảy ra.

