Ngày 14/2, BS Đặng Nam Hải, khoa Hô hấp - Hồi sức Tim mạch, Bệnh viện Nhân Dân 115 cho biết, tại đây vừa tiếp nhận và can thiệp cho một trường hợp nhiễm ký sinh trùng rất nặng. Bệnh nhân là bà L.T.T. (64 tuổi, ngụ tại Tiền Giang) có tiền căn suy thượng thận, nhập viện trong tình trạng ăn kém, sụt cân, ho và khó thở.
![]() |
| Ấu trùng giun lươn được rửa ra từ phổi bệnh nhân hiện nguyên hình trên kính hiển vi |
Qua kết quả xét nghiệm, bác sĩ ghi nhận người bệnh có tình trạng thiếu máu mức độ trung bình, tăng bạch cầu ái toan (một trong những chỉ điểm của tình trạng nhiễm ký sinh trùng). Đặc biệt, bệnh nhân bị viêm phổi với tổn thương dạng nốt lan tỏa cả hai bên phổi.
Bệnh nhân được chỉ định nội soi phế quản và nội soi dạ dày tá tràng để kiểm tra. Hình ảnh nội soi ghi nhận tình trạng viêm dạ dày tá tràng có nhiều chấm trắng li ti gợi ý tình trạng nhiễm ký sinh trùng. Khi các bác sĩ tiến hành nội soi phế quản cũng phát hiện nhiều chất trắng li ti. Khi bơm rửa phế quản, các bác sĩ thu được nhiều dị vật màu trắng xám.
BS Hải cho biết, hình ảnh kiểm tra dưới kính hiển vi xác định, dị vật màu trắng xám trong phổi bệnh nhân chính là ấu trùng giun lươn. Người bệnh được xác định bị nhiễm giun lươn mức độ nặng ở phổi và ruột. Sau khi điều trị bằng thuốc đặc hiệu, tình trạng nhiễm ký sinh trùng được kiểm soát, sức khỏe bệnh nhân dần bình phục.
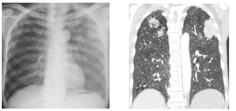
![]() |
| Hình ảnh phổi bệnh nhân bị tổn thương do ấu trùng giun lươn gây ra |
Trước đó, tại Bệnh viện Nhân Dân 115 cũng từng tiếp nhận nam bệnh nhân 69 tuổi, ngụ tại Tiền Giang, có tiền căn bị ung thư thanh quản, đến khám bệnh vì ăn kém, nôn ói, đau bụng, ho và khó thở trong 10 ngày. Bệnh nhân được bác sĩ kiểm tra hình ảnh và ghi nhận bị hẹp môn vị, tổn thương phổi hoại tử hai bên. Kết quả nội soi phế quản xác định, bệnh nhân bị nhiễm giun lươn.
Từ hai trường hợp trên, BS Hải cảnh báo, ấu trùng giun lươn không chỉ gây bệnh ở đường tiêu hóa mà còn có thể xâm nhập vào phổi và các cơ quan khác, dẫn đến những biến chứng nguy hiểm, thậm chí đe dọa tính mạng. Bệnh có diễn biến bất thường và nặng nề ở những người có hệ miễn dịch suy yếu. Việc dự phòng và phát hiện, điều trị sớm tình trạng nhiễm giun lươn là giải pháp quan trọng để tránh nguy hiểm có thể xảy ra.
Để tránh nguy cơ nhiễm ký sinh trùng, BS Hải khuyến cáo cộng đồng cần giữ vệ sinh cá nhân, rửa tay bằng xà phòng, ăn chín uống chín, tránh thức ăn sống, tái, dùng giày dép khi tiếp xúc đất, cát. Bệnh nhân cần khám sàng lọc nếu có triệu chứng nghi ngờ như: đau bụng, nôn, biếng ăn, sụt cân, cơ thể ngứa, phát ban, viêm phổi, suy hô hấp, viêm não màng não, suy gan, suy thận.

