Theo bệnh sử, bà H.T.T.B. (56 tuổi, ngụ tại Long An) sau bữa cơm trưa thì bất ngờ xuất hiện các triệu chứng đau nặng ngực sau xương ức, khó thở, nôn ói, hôn mê. Người thân đã nhanh chóng đưa bà B. đến bệnh viện gần nhà. Thời điểm nhập viện, nữ bệnh nhân này đã trong tình trạng ngưng tim, ngưng thở (trạng thái chết lâm sàng).
![]() |
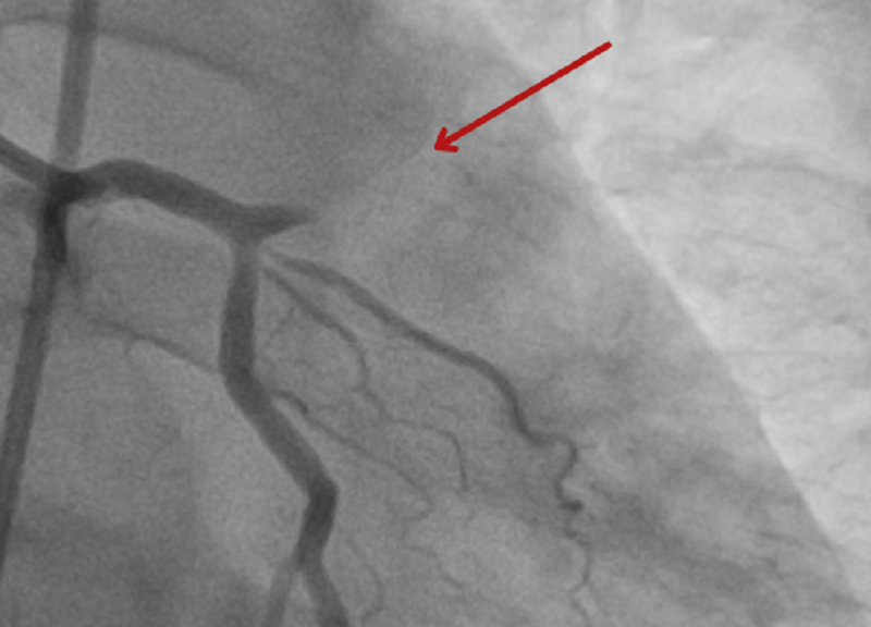
| Hình ảnh kiểm tra cho thấy bệnh nhân bị tắc gần như hoàn toàn động mạch vành bên trái |
Sau nỗ lực hồi sức tim phổi, giúp người bệnh có tuần hoàn trở lại, các bác sĩ đã kiểm tra hình ảnh và chẩn đoán bà B. bị nhồi máu cơ tim cấp, tình trạng rất nguy kịch. Ngay lập tức, bệnh nhân được hội chẩn liên viện và chuyển đến Bệnh viện Xuyên Á điều trị chuyên sâu. Để sẵn sàng tiếp nhận, điều trị cho bệnh nhân, bệnh viện đã kích hoạt hệ thống "báo động đỏ toàn viện", huy động nhân lực liên chuyên khoa và trang thiết bị cứu chữa.
Kết quả chụp mạch vành cho thấy bệnh nhân bị tắc hoàn toàn đoạn gần của động mạch vành trái. Các bác sĩ đã quyết định thực hiện phương pháp can thiệp nội mạch để nong mạch vành và đặt stent tại vị trí mạch máu bị tắc.
Sau khi được can thiệp, bệnh nhân B. đã qua được cơn nguy kịch, sức khỏe phục hồi tốt.
Các bác sĩ cho biết, nhồi máu cơ tim cấp (đột quỵ tim) là tình trạng cơ tim bị thiếu máu nuôi và hoại tử do mạch vành (mạch máu nuôi cơ tim) bị tắc nghẽn đột ngột bởi cục huyết khối trong lòng mạch. Nếu lưu lượng máu không được phục hồi nhanh chóng, cơn nhồi máu cơ tim cấp có thể gây tổn thương cơ tim vĩnh viễn và tử vong.
![]() |
| Sau khi được can thiệp, sức khỏe của người bệnh đã bình phục tốt |
Bệnh lý nguy hiểm trên là do mảng xơ vữa trong lòng mạch vành bị nứt hoặc vỡ. Các tế bào máu gồm tiểu cầu và hồng cầu đến bám vào tạo thành cục huyết khối gây bít tắc đột ngột lòng mạch, ngưng cấp máu nuôi cơ tim phía xa, dẫn đến cơ tim bị thiếu máu nuôi. Nếu tình trạng này kéo dài sẽ đưa đến hoại tử cơ tim, gây suy tim hoặc đột tử.
Theo BS Công Vân, đối với bệnh nhân nhồi máu cơ tim cấp, thời gian là yếu tố quyết định, can thiệp tim mạch là cách tốt nhất để bác sĩ chạy đua với thời gian nhằm cứu sống người bệnh. Thời gian vàng để cứu quả tim là 12 giờ đầu tiên và thủ thuật này mang lại hiệu quả cao nhất trong 3 giờ đầu tiên kể từ khi xuất hiện triệu chứng. Can thiệp cấp cứu kịp thời sẽ giúp giảm nguy cơ tử vong và các biến chứng nguy hiểm về tim mạch sau này cho người bệnh. Do đó, khi có những biểu hiện bất thường (đã nêu) bệnh nhân cần đến bệnh viện càng sớm càng tốt.

