Bệnh nhân là bà P.T.C. (53 tuổi, quê Thái Bình) nhập viện trong tình trạng bị đau bụng kéo dài. Khai thác bệnh sử của bác sĩ từ phía bệnh nhân ghi nhận, khoảng một năm trước bà bị đau tức vùng hạ sườn bên trái kéo dài, thường xuyên đầy hơi, khó chịu vùng bụng. Bà đã đi khám thì được bác sĩ phát hiện có một nang lách, bác sĩ đã tư vấn cho bệnh nhân phẫu thuật nhưng vì lý do cá nhân bà đã trì hoãn.
![]() |
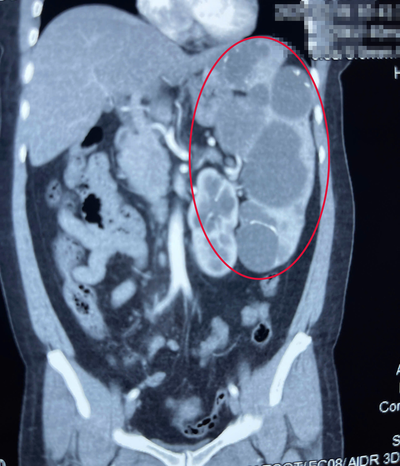
| Khối lách phát triển rất lớn chiếm diện tích ổ bụng, chèn ép các bộ phận nội tạng của người bệnh |
Thời gian gần đây, triệu chứng đau bụng ở người bệnh xuất hiện thường xuyên, ảnh hưởng nghiêm trọng đến chất lượng sống. Khi đến bệnh viện thăm khám, qua chẩn đoán hình ảnh, bác sĩ phát hiện người bệnh có lách to bất thường, chiếm gần hết vùng bụng bên trái. Lá lách của người bệnh có nhiều nang lớn.
Sau hội chẩn, các bác sĩ đã quyết định phẫu thuật cắt toàn bộ lách của người bệnh để loại bỏ khối nang. Trong quá trình phẫu thuật, các bác sĩ đã mở ổ bụng tiếp cận và cắt toàn bộ khối lách có trọng lượng lên đến 1,3kg nặng gấp 40 lần bình thường (lá lách bình thường nặng khoảng 32g). Sau phẫu thuật, sức khỏe của người bệnh đã bình phục tốt.
![]() |
| Lá lách to gấp 40 bình thường đã được bác sĩ cắt trọn khỏi cơ thể người bệnh |
BS Tòng Bá cho biết, u nang lách là tổn thương hiếm gặp chỉ có khoảng 0,5% - 2% dân số mắc phải. Bệnh thường diễn tiến âm thầm và có triệu chứng không đặc hiệu. Bệnh có thể nguy hiểm nếu xuất hiện biến chứng như nhiễm trùng, vỡ nang hoặc chèn ép các cơ quan lân cận.
Phân tích chuyên môn của BS Tòng Bá chỉ ra, nguyên nhân hình thành u nang lách có thể là do người bệnh bị nhiễm ký sinh trùng; bệnh nhân bị nang bẩm sinh, nang bạch mạch hoặc do bất thường mạch máu. Hiện chưa có biện pháp phòng ngừa đặc hiệu.
Để giảm nguy cơ mắc bệnh, bác sĩ khuyến cáo cộng đồng nên giữ vệ sinh cá nhân, ăn uống sạch sẽ; hạn chế tiếp xúc với nguồn lây nhiễm ký sinh trùng; khám sức khỏe định kỳ để phát hiện sớm bất thường.

