Đó là trường hợp của bé T.N.L. (2 tuổi, ngụ tại huyện Đức Huệ, tỉnh Long An) vừa được tiếp nhận điều trị tại Bệnh viện Nhi Đồng Thành phố. Qua khai thác bệnh sử ghi nhận, hơn 1 tuần trước khi chuyển đến bệnh viện, bệnh nhi có biểu hiện ho khò khè, thở mệt.
Gia đình đã đưa bé đến thăm khám và điều trị tại phòng mạch tư nhưng bệnh không giảm. Bệnh nhi đã được bệnh viện địa phương thăm khám và chẩn đoán hen phế quản nặng. Tuy nhiên, sau 1 tuần áp dụng các biện pháp điều trị tích cực, tình trạng của trẻ chẳng những không thuyên giảm mà ngày càng nặng thêm, các bác sĩ đã quyết định chuyển bé lên tuyến trên.
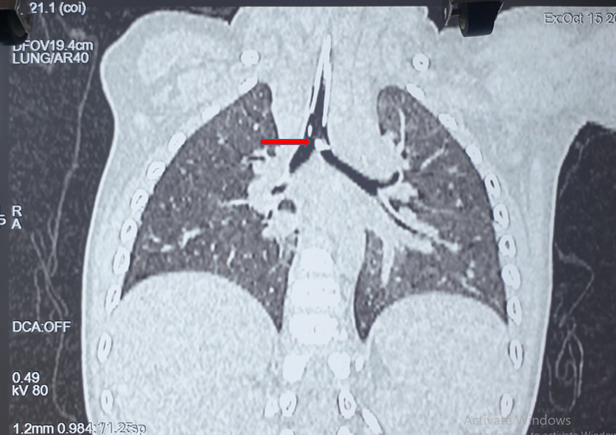
![]() |
| Mảnh xương lớn ghim vào thành phế quản của bệnh nhi được phát hiện trên hình ảnh CT-Scan |
Tại Bệnh viện Nhi Đồng Thành Phố, trẻ rơi vào suy hô hấp nặng, tím tái phải đặt nội khí quản hỗ trợ thở máy kết hợp điều trị nội khoa tích cực để ngăn chặn tình trạng viêm phổi nhưng diễn tiến bệnh ngày càng nguy hiểm, đe dọa tính mạng bệnh nhi.
Các bác sĩ đã tiến hành chụp CT-Scan phổi kiểm tra thì phát hiện dị vật có kích thước lớn (0,5x1cm) nằm ở ngay vị trí chia đôi khí quản thành phế quản gốc bên phải và trái. Sau khi hội chẩn liên chuyên khoa, các bác sĩ đã quyết định thực hiện nội soi đường thở cấp cứu cho bệnh nhi. Mảnh xương sắc nhọn đang ghim vào thành phế quản đã được ê kíp bác sĩ gắp ra ngoài thành công. Ngày 18/10, bệnh nhi đang tiếp tục được điều trị tại khoa Hồi sức Ngoại, tình trạng sức khỏe dần bình phục.
![]() |
| Các bác sĩ đã nội soi gắp thành công dị vật ra khỏi đường thở của trẻ |
Nhìn mảnh xương được bác sĩ gắp ra ngoài từ đường thở của con, mẹ bệnh nhi bàng hoàng nhớ lại trước đó chị đã dùng nước hầm xương nấu cháo thịt cho bé ăn. Có thể do sơ ý không lọc kỹ nên mảnh xương đã sót lại trong cháo, dẫn đến tai nạn nguy hiểm cho con.
Từ trường hợp trên, bác sĩ khuyến cáo phụ huynh khi sử dụng thịt, cá để chế biến thức ăn cho trẻ cần loại bỏ triệt để xương trước khi cho bé ăn. Giải pháp tốt nhất là lóc hết xương, chỉ cho trẻ ăn phần thịt để tránh nguy cơ xảy ra tai nạn hóc xương, nguy hiểm đến tính mạng của trẻ.

