Ngày 19/7, thông tin từ Bệnh viện Đa khoa Xuyên Á TPHCM cho biết, tại đây vừa tiếp nhận một trường hợp bệnh nhân người nước ngoài trong tình trạng rất nặng. Người bệnh là ông S.D.J. (58 tuổi, quốc tịch Hàn Quốc) nhập viện trong tình trạng liệt hoàn toàn nửa người bên trái, nói khó nặng, méo miệng, huyết áp cao, vào khoảng giờ thứ 3 kể từ lúc khởi phát.
Các bác sĩ nhanh chóng chẩn đoán người bệnh bị đột quỵ nên quyết định kích hoạt khẩn cấp quy trình cấp cứu. Qua hình ảnh chụp cắt lớp vi tính sọ não, bác sĩ phát hiện người bệnh bị nhồi máu não cấp (mạch máu não bị tắc bởi cục máu đông).
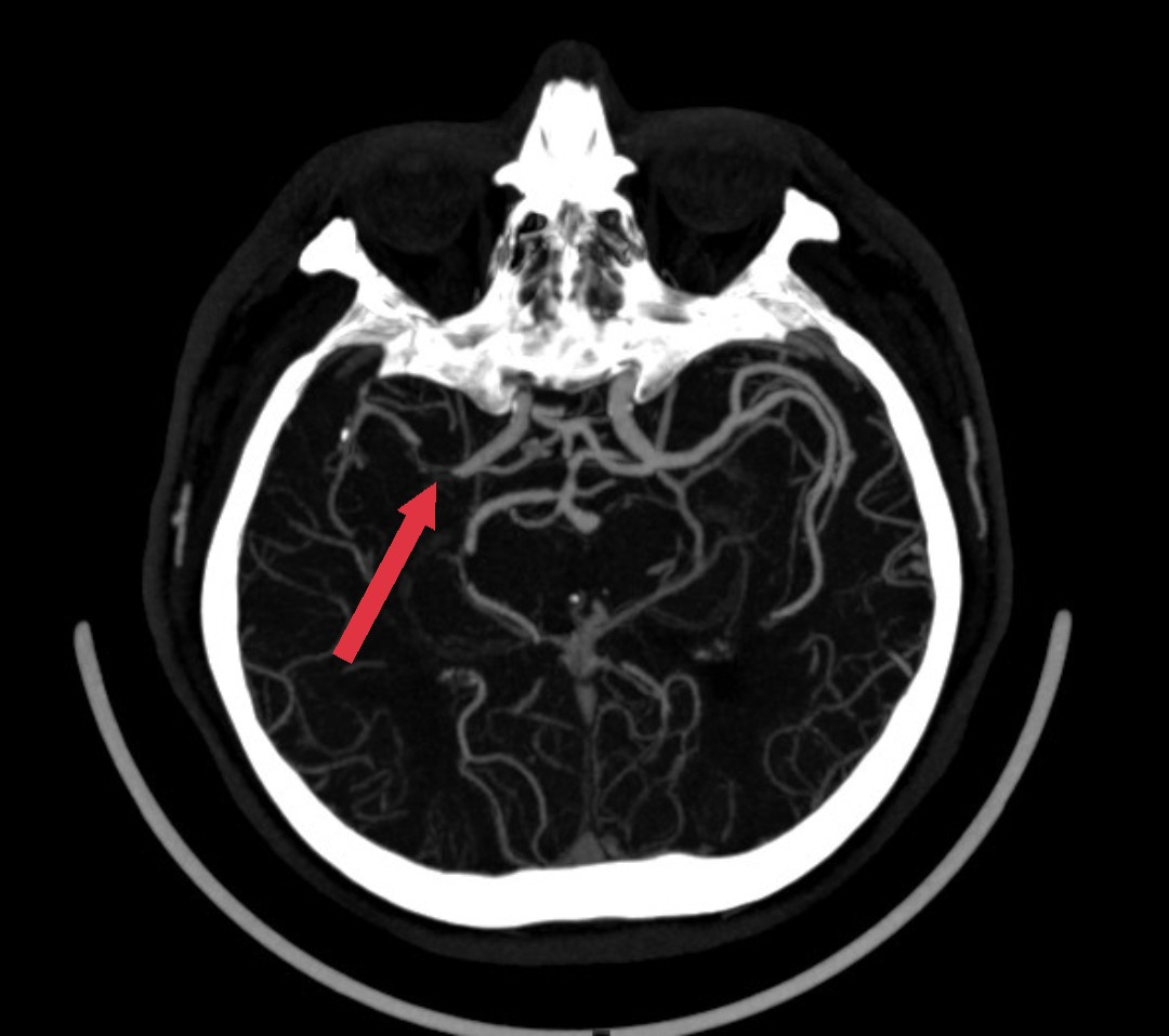
![]() |
| Một bên động mạch não của bệnh nhân bị tắc hoàn toàn thời điểm nhập viện cấp cứu |
Bệnh nhân nhập viện đang trong thời gian vàng cấp cứu đột quỵ (6 giờ đầu kể từ khi có biểu hiện bệnh) nên các bác sĩ đã chỉ định cho bệnh nhân sử dụng thuốc tiêu sợi huyết. Đây là loại thuốc có tác dụng giúp tan cục máu đông gây tắc nghẽn mạch máu. Sau 1 giờ sử dụng thuốc, tình trạng sức khỏe của bệnh nhân đã cải thiện tốt. Hiện ông có thể cử động được tay chân bên trái, tự ngồi được và nói chuyện lưu loát.
Kết quả kiểm tra chuyên sâu hình ảnh chụp mạch máu não của bệnh nhân ghi nhận, ông S.D.J. bị hẹp nặng động mạch não giữa (đoạn M1). Theo bệnh sử, người đàn ông Hàn Quốc bị cao huyết áp nhưng ông không đi khám bệnh định kỳ.
![]() |
| Sau khi được điều trị, bệnh nhân đã có thể tự ngồi, sức khỏe dần bình phục |
Từ trường hợp trên, bác sĩ cảnh báo tăng huyết áp là bệnh lý nguy cơ hàng đầu gây bệnh đột quỵ. Tai biến này khiến người bệnh đối mặt với nguy cơ tử vong cao. Những người may mắn vượt qua nguy kịch cũng có nguy cơ đối mặt với các di chứng thần kinh, vận động.
Ngoài việc khám bệnh định kỳ (mỗi 6 tháng một lần) bệnh nhân cao huyết áp phải tuân thủ chỉ định sử dụng thuốc kiểm soát huyết áp của bác sĩ và đến bệnh viện ngay khi cơ thể có những biểu hiện bất thường để được chẩn đoán, điều trị kịp thời.

