Ngày 9/10, BS Nguyễn Minh Tiến, Phó giám đốc Bệnh viện Nhi Đồng Thành phố cho biết tại đây đã tiếp nhận và cứu chữa thành công cho trường hợp trẻ sơ sinh mắc COVID-19 rất nguy kịch.
Đó là trường hợp của bé P.N.T.V. (3 tháng tuổi, ngụ tại huyện Hóc Môn, TPHCM). Đầu tháng 9, bệnh nhi được chuyển đến cấp cứu trong tình trạng khó thở, tím tái sau 2 ngày sốt cao, ho, sổ mũi, khò khè, bú kém…
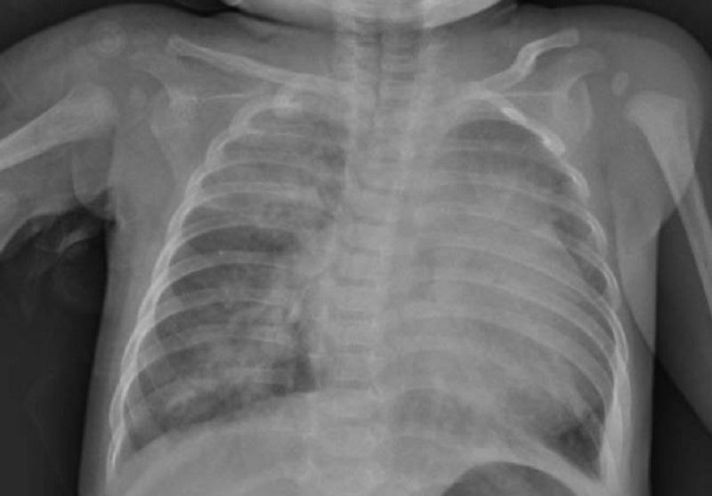
![]() |
| X-quang ngực cho thấy hình ảnh tổn thương thâm nhiễm phổi nặng lan tỏa 2 phế trường, bóng tim to (ảnh: BVCC) |
Tại thời điểm nhập viện, chỉ số oxy máu của bệnh nhi giảm sâu (còn 78%), nhịp tim nhanh (168 lần/phút). Kết quả xét nghiệm khẳng định, trẻ bị nhiễm SARS-CoV-2. Kết quả thăm khám, chẩn đoán hình ảnh cho thấy, bé bị bệnh tim bẩm sinh (thông liên nhĩ, còn ống động mạch). Cùng lúc bị 2 chứng bệnh nguy hiểm, tiên lượng điều trị cho bệnh nhi vô cùng khó khăn.
Các bác sĩ đã hỗ trợ hô hấp, cho trẻ thở áp lực dương liên tục và truyền thuốc kháng virus, kháng sinh, kháng viêm, kháng đông… Tuy nhiên, tình trạng hô hấp diễn tiến xấu dần, bệnh nhi đã chuyển sang thở máy không xâm nhập nhưng vẫn không cải thiện.
Hình ảnh Xquang phổi cho thấy, bé bị tổn thương phổi nặng lan tỏa 2 bên, hội chứng suy hô hấp cấp tiến triển (ARDS), suy tim. Xét nghiệm máu cho thấy có biểu hiện phản ứng viêm tăng mạnh… Sau hội chẩn, các bác sĩ đã quyết định mở khí quản cho trẻ thở máy và truyền thêm kháng thể miễn dịch, điều trị các thuốc hỗ trợ tim, tăng sức co bóp cơ tim.
![]() |
| Sau hơn 1 tháng nỗ lực cứu chữa, bệnh nhi đang dần bình phục trong niềm vui của gia đình (ảnh: BVCC) |
Sau hơn 2 tuần điều trị tích cực, diễn tiến của bệnh nhi khá lên. Các bác sĩ đã hội chẩn liên chuyên khoa, tiến hành thông tim bít ống động mạch. Cuộc can thiệp cho bệnh nhi diễn ra thuận lợi. Đến nay, sau hơn 1 tháng điều trị, bệnh nhi đã cai được máy thở, tỉnh táo, bú khá đang tiếp tục được điều trị tại khoa Tim mạch. Cháu đã chiến thắng được COVID-19 với kết quả xét nghiệm 3 lần âm tính.
Theo BS Minh Tiến, đây là trường hợp mắc COVID-19 nặng, nguy kịch ở trẻ nhũ nhi kèm tim bẩm sinh được cứu sống nhờ phối hợp các chuyên khoa nhiễm, tim mạch, hồi sức, chẩn đoán hình ảnh… Từ trường hợp trên, bác sĩ khuyến cáo phụ huynh, cần nghiêm túc tuân thủ 5K trước khi chăm sóc trẻ, từ mang khẩu trang, kính chắn giọt bắn, rửa tay, sát trùng tay. Các vật dụng như điện thoại, máy tính xách tay, đồ chơi… phải được khử khuẩn trước khi đưa cho trẻ.

