Ngày 18/9, TS.BS Trần Phùng Dũng Tiến, Trưởng khoa Ngoại Tiêu hóa, Bệnh viện Chợ Rẫy cho biết, tại đây vừa tiếp nhận, can thiệp cho một trường hợp bị dị vật đường tiêu hóa gây tổn thương nghiêm trọng.
![]() |
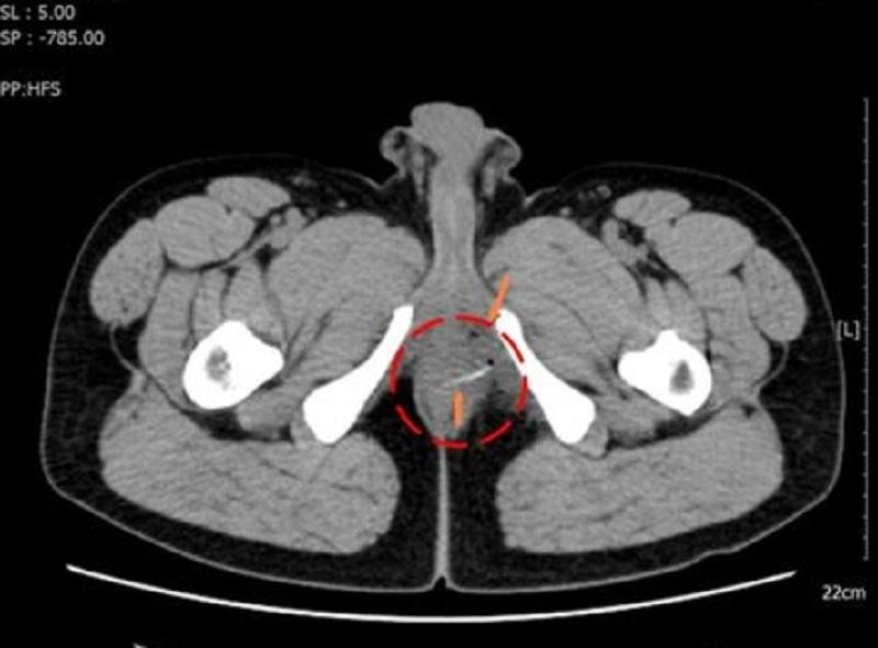
| Bệnh nhân được chụp CT-Scan truy tìm nguyên nhân gây đau bất thường ở vùng hậu môn |
Bệnh nhân là anh N.A.D. (39 tuổi) đến bệnh viện trong tâm trạng lo lắng về nguy cơ bị ung thư vì bị đau vùng hậu môn, cảm giác mót rặn kéo dài. Tại Trung tâm kiểm tra sức khỏe Chợ Rẫy Việt Nhật – HECI các bác sĩ đã tiến hành thăm khám và chỉ định cho bệnh nhân chụp CT-Scan.
Trên hình ảnh kiểm tra, bác sĩ phát hiện vùng đại tràng của bệnh nhân có dị vật cản quang hình que kèm bóng khí. Bệnh nhân đã được chỉ định nhập viện phẫu thuật.
![]() |
| Hình ảnh kiểm tra phát hiện chiếc xương cá cản quang ở vị trí trực tràng của bệnh nhân |
Trong quá trình mổ, ê kíp phát hiện chiếc xương cá dài khoảng 3cm nằm ở vùng trực tràng, đâm thủng thành ruột và tạo áp xe nhưng may mắn chưa gặp biến chứng nguy hiểm. Các bác sĩ đã lấy dị vật ra khỏi cơ thể bệnh nhân và khâu lại vết thương. Sau phẫu thuật, sức khỏe của bệnh nhân đã bình phục tốt.
Từ trường hợp trên, bác sĩ cảnh báo, xương cá tuy nhỏ nhưng nếu đi vào đường tiêu hóa có thể gây thủng ruột, nhiễm trùng tạo áp xe và nguy hiểm đến tính mạng. Do đó khi ăn, cộng đồng cần lưu ý loại bỏ hết xương, nhai chậm, nhai kỹ để lừa xương, tránh nuốt vào đường tiêu hóa. Khi nghi ngờ bị dị vật hay có những biểu hiện sức khỏe bất thường, người bệnh cần phải đến ngay các cơ sở y tế uy tín, để được chẩn đoán và điều trị kịp thời.

