Đó là trường hợp nữ bệnh nhân Nguyễn Ngọc T. (17 tuổi, quê Bình Thuận) vừa được điều trị tại Bệnh viện Quân y 175 TPHCM. Ngày 22/3, TS.BS Nguyễn Hải Công, Chủ nhiệm khoa Lao và Bệnh phổi cho biết, bệnh nhân nhập viện trong tình trạng suy hô hấp cấp, nguy hiểm tính mạng. Các kết quả thăm khám, xét nghiệm ghi nhận, bệnh nhân bị nhiễm trùng đường hô hấp.
![]() |
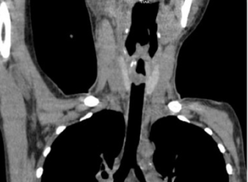
| Khối u lớn gây tắc gần như hoàn toàn khí quản khiến bệnh nhân suy hấp cấp, nguy kịch |
Khai thác bệnh sử của bác sĩ từ phía bệnh nhân ghi nhận, khoảng 1 năm trước, bệnh nhân có biểu hiện thở khò khè, ho và khó thở tăng dần khi gắng sức. Cô gái trẻ đã đi khám tại bệnh viện địa phương và được chẩn đoán hen phế quản. Tuy nhiên, sau thời gian dài điều trị theo phác đồ, tình trạng bệnh không thuyên giảm mà có xu hướng ngày càng nặng thêm.
Kết quả chụp cắt lớp vi tính tại Bệnh viện Quân y 175 phát hiện một khối u lớn, kích thước 3x2cm, nằm ở vị trí dưới dây thanh âm. Khối u có nhiều mạch máu trên bề mặt, gây tắc nghẽn gần như hoàn toàn khí quản của người bệnh. Các bác sĩ đã nhanh chóng mở nội khí quản phía dưới đoạn bị khối u gây tắc và cho bệnh nhân thở máy.
Sau khi sinh thiết và xác định đây là khối u biểu mô dạng sợi lành tính, các bác sĩ đã hội chẩn tìm phương án can thiệp cho người bệnh. TS.BS Nguyễn Hải Công cho biết: “Thông thường, các khối u lớn khí, phế quản sẽ được phẫu thuật cắt bỏ. Tuy nhiên, đây là phương pháp can thiệp xâm lấn lớn và có thể để lại di chứng cho bệnh nhân. Do bệnh nhân còn trẻ và khối u lành tính nên chúng tôi quyết định can thiệp cắt đốt qua nội soi phế quản ống mềm để hạn chế tối đa nguy cơ tổn thương đường thở cho người bệnh”.
![]() |
| Hình ảnh nội soi khí quản của bệnh nhân trước và sau khi thực hiện thủ thuật cắt đốt khối u |
Quá trình cắt đốt diễn ra thuận lợi, khối u được loại bỏ hoàn toàn. Sau can thiệp, bệnh nhân được điều trị kháng sinh, kháng viêm, sức khỏe nhanh chóng bình phục. Đến nay, qua hai lần tái khám, bệnh nhân đã hết khó thở, hoạt động thể lực bình thường, tại vị trí cũ của khối u chỉ có một vết sẹo nhỏ, không có biểu hiện tái phát.
Theo BS.Hải Công, u khí quản là bệnh lý hiếm gặp trên lâm sàng, các triệu chứng rất giống với hen phế quản vì vậy chẩn đoán thường khó khăn và dễ bỏ sót. Trường hợp trên đã may mắn được can thiệp bằng kỹ thuật xâm lấn tối thiểu không chỉ giúp người bệnh bảo tồn được khí quản mà còn tránh được các di chứng do sẹo khí quản gây ra.

