Là con người thì ai cũng có lúc thay đổi vì sự tác động nào đó, nhưng cách thay đổi của Sadayan Ahmed Maideen Jabbar, một người đàn ông ở Singapore, thì ban đầu không ai hiểu được.
Cho đến trước năm 2020, Sadayan vẫn sống hạnh phúc cùng vợ con. Thế rồi cuộc sống hạnh phúc đó bỗng có một bước ngoặt lớn.
Không hiểu vì sao, Sadayan bỗng trở nên cực kỳ bẳn tính, lúc nào cũng cáu, không kiểm soát được, và anh trút giận lên vợ con mình, chủ yếu là bằng lời nói.
Sadayan cáu kỉnh vì lý do gì thì chính anh cũng không biết.
![]() |
| Anh Sadayan (bên phải). Ảnh: Sadayan Maideen. |
Tất cả mọi người quen biết Sadayan đều nói rằng anh như biến thành một con người khác, vì sự thô lỗ, cáu bẳn đó vốn không phải là tính cách của anh. Gia đình đoán rằng anh bị sức ép công việc, hoặc thay đổi môi trường do đại dịch…
Nhưng càng ngày, Sadayan càng quá đáng và hung hăng. Tình trạng này leo thang đến mức vợ anh từng phải gọi cảnh sát và cuối cùng thì họ ly hôn vào năm 2020.
Không lâu sau khi ly hôn, Sadayan bỗng bị một cơn động kinh. Lúc ấy đang làm việc nhà, Sadayan chợt gần như bất tỉnh nhưng chỉ trong khoảng 20 giây, sau đó anh cảm thấy trong miệng có vị như kim loại. Sadayan cũng khá sốc nhưng vẫn tiếp tục làm mọi việc như bình thường.
Nhưng việc này xảy ra ngày càng thường xuyên. Có hôm anh bị “mơ màng” đến 8 lần trong một ngày.
Khi đồng nghiệp của Sadayan biết chuyện, họ thuyết phục anh đến Bệnh viện Đại học Quốc gia (NUH) ngay lập tức.
Các bác sĩ kiểm tra cho Sadayan nhưng không tìm ra lý do. Chỉ đến khi Phó Giáo sư Yeo Tseng Tsai của Khoa Phẫu thuật khuyên anh quét não thì vấn đề mới lộ diện.
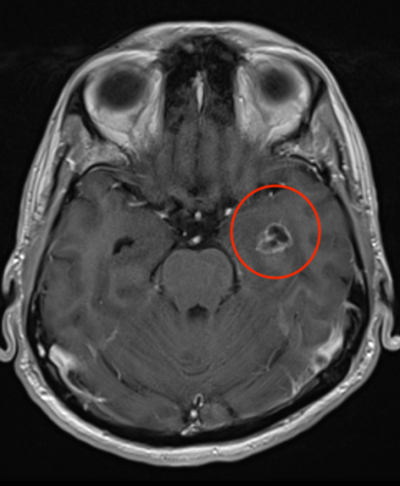
Sadayan nhận được tin tức khủng khiếp: Anh có một khối u hiếm ở thùy thái dương của não, với đường kính 2 - 3cm.
![]() |
| Hóa ra đây là thủ phạm gây ra những cơn cáu kỉnh của Sadayan. Ảnh: Sadayan Maideen. |
Chính khối u này đã tác động đến khu vực của não “phụ trách” các cảm xúc giận dữ, thịnh nộ và phản ứng căng thẳng cấp tính. Cũng chính nó đã khiến anh liên tục cáu kỉnh không có lý do, không thể kiểm soát.
Sau đó, Sadayan đã trải qua 2 lần phẫu thuật não và chính các bác sĩ gợi ý rằng anh nên giải thích mọi việc với vợ (cũ) để hàn gắn.
Thật may mắn là giờ đây Sadayan đã kiểm soát cảm xúc tốt hơn. Mặc dù vẫn phải chịu một số ảnh hưởng, như đôi khi hơi khó phát âm và hay quên hơn trước đây, nhưng Sadayan đã có cuộc sống gần y như cũ. Tháng 4 vừa rồi, anh đã kết hôn lại với vợ (cũ) của mình. Việc các bác sĩ chẩn đoán và điều trị kịp thời không chỉ cứu mạng anh Sadayan mà còn cứu cả cuộc sống gia đình của anh.
![]() |
| Anh Sadayan (ngồi, bên phải) cùng các bác sĩ điều trị cho mình. Ảnh: Sadayan Maideen. |
Khi nói về trường hợp của Sadayan, các bác sĩ ở NUH đã đưa ra lời nhắc nhở đối với cộng đồng rằng hãy chú ý khi người thân của mình có sự thay đổi tính cách, hành vi một cách rõ rệt, bất ngờ, bởi điều đó có thể do một biến động nào đó trong cơ thể, về thể chất hoặc về tâm lý. Những người đó rất cần được người thân theo dõi để xem có những dấu hiệu lạ nào nữa không, nếu cần thì hỏi ý kiến bác sĩ càng sớm càng tốt.
![]() |



