Chiều 19/9, trao đổi với phóng viên, PGS. BS Nguyễn Văn Tân, Trưởng khoa Tim mạch Cấp cứu và Can thiệp, Bệnh viện Thống Nhất TPHCM cho biết, tại đây vừa cứu thành công một trường hợp đặc biệt nguy kịch đến tính mạng.
Bệnh nhân là bà Nguyễn Thị S (59 tuổi, ngụ tại quận Bình Tân, TPHCM) được bệnh viện địa phương chuyển đến Bệnh viện Thống Nhất vào trưa ngày 18/9 trong tình trạng đau ngực dữ dội với chẩn đoán nghi ngờ nhồi máu cơ tim cấp.
![]() |
![]() |
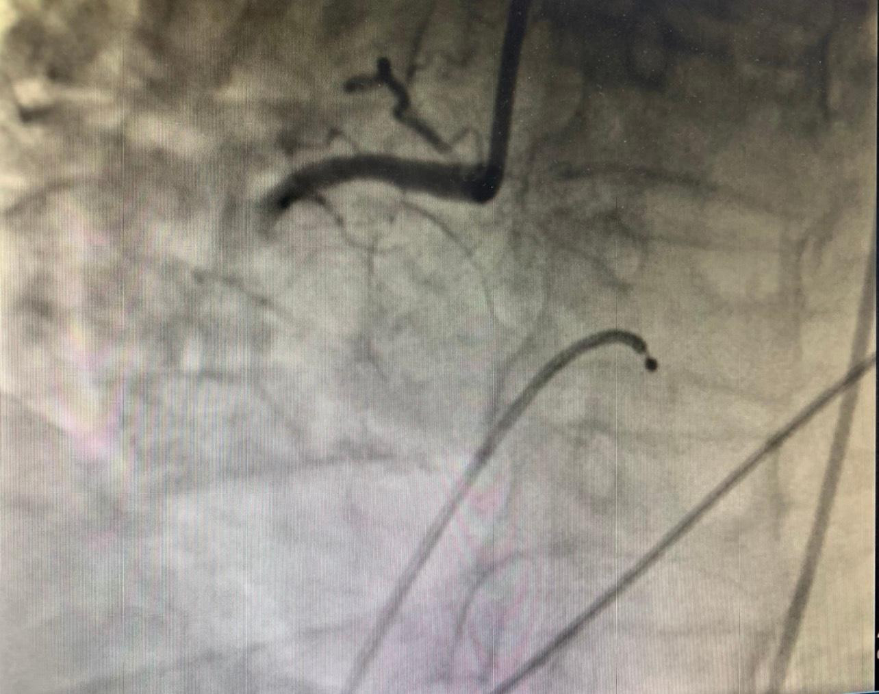
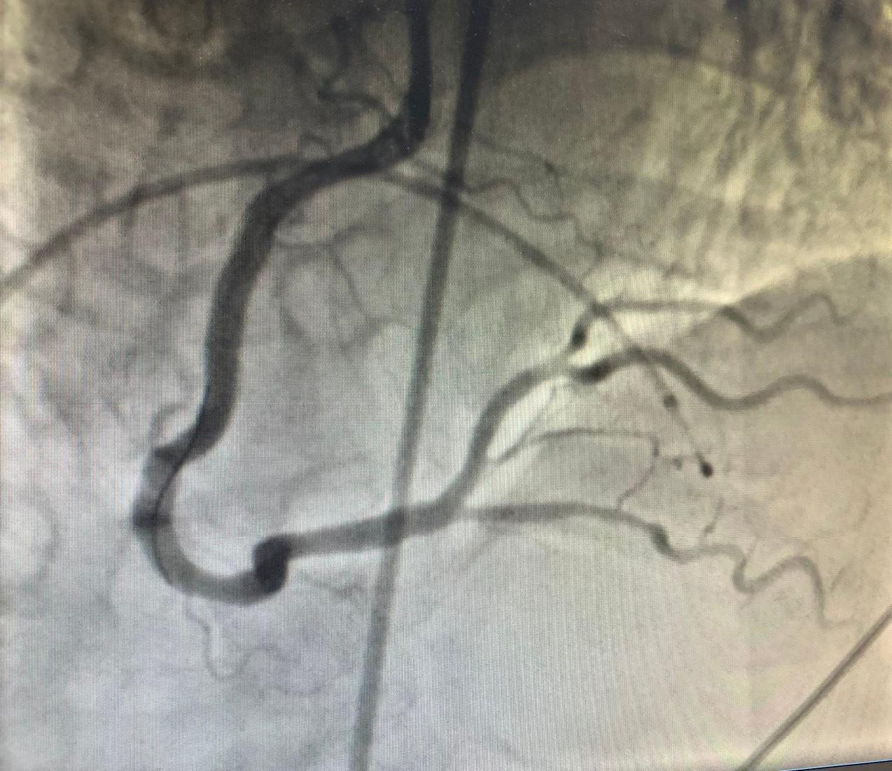
| Mạch vành của bệnh nhân (hình trên) bị tắc nghẽn trước can thiệp và được tái thông sau can thiệp (hình dưới) |
Khai thác bệnh sử của bác sĩ từ phía gia đình ghi nhận, bà S bị đái tháo đường tuýp 2 đang trong quá trình điều trị. 2 ngày trước khi nhập viện, bệnh nhân có biểu hiện đau tức ngực nhưng không đến bệnh viện sớm cho tới khi những cơn đau ngày càng dữ dội khiến bà phải đi cấp cứu.
Tại Bệnh viện Thống Nhất, trong vòng 5 phút thăm khám, đo điện tim, các bác sĩ đã phát hiện bệnh nhân bị nhồi máu cơ tim cấp ở vị trí thành dưới, thất phải và thành sau thất trái khiến huyết áp của bệnh nhân tụt, mạch chậm dần.
Người bệnh nhanh chóng được chỉ định can thiệp nội mạch để tái thông vị trí mạch máu bị tắc nghẽn. Tuy nhiên, khi chuyển đến phòng DSA, bệnh nhân bất ngờ bị rung thất, nguy cơ tử vong ngay lập tức. Các bác sĩ đã nỗ lực sốc điện, hồi sinh tim phổi nhiều lần.
Thế nhưng, tình trạng rung thất của người bệnh vẫn lặp đi lặp lại. “Nếu chờ cho bệnh nhân ổn định mới can thiệp thì chúng tôi không có cơ hội. Với quyết tâm cứu bệnh nhân, ê kíp liên chuyên khoa đã quyết định vừa sốc điện chuyển nhịp để xử lý tình trạng rung thất đồng thời vừa can thiệp đặt stent cho bệnh nhân. Sau hơn 5 phút chạy đua với tử thần, tổng cộng hơn 30 lần sốc điện, chúng tôi đã can thiệp thành công mạch vành, đặt 1 stent tái thông vị trí mạch máu bị tắc tạm thời giúp người bệnh qua được nguy kịch” – PGS.BS Nguyễn Văn Tân cho hay.
![]() |
| Sau 24 giờ được can thiệp, bệnh nhân đã tỉnh táo, tiếp xúc tốt, có thể tự ăn uống |
Theo PGS.BS Nguyễn Văn Tân, thực tế can thiệp mạch vành cho thấy, bệnh nhân tổn thương cả 2 nhánh, trong đó nhánh bên phải tắc hoàn toàn đoạn gần (RCA) do huyết khối. Tuy nhiên, sau can thiệp, bệnh nhân tiếp tục bị nhịp nhanh thất, rung thất. Các bác sĩ đã tiếp tục sốc điện, đồng thời sử dụng thuốc, bổ sung điện giải giúp bệnh nhân phục hồi dần.
Sau 24 giờ can thiệp, bệnh nhân đã hoàn toàn tỉnh táo, tiếp xúc tốt, ăn uống được.
Phân tích chuyên môn của PGS.BS Nguyễn Văn Tân chỉ ra, đây là tình trạng “cơn bão điện học” trong nhồi máu cơ tim cấp - biến chứng không thường gặp (khoảng 5 đến 10% trong nhóm bệnh nhân nhồi máu cơ tim cấp), xảy ra sau nhồi máu cơ tim cấp nhưng rất nặng nếu không chẩn đoán, xử trí kịp thời thì bệnh nhân có thể tử vong ngay. Nguyên nhân của “cơn bão điện học” có thể do thiếu máu cục bộ vùng cơ tim gây nhồi máu dẫn đến tình trạng loạn nhịp. Ngoài ra, có thể do các yếu tố khác thúc đẩy như rối loạn điện giải, hạ kali, rối loạn đường huyết, nhiễm trùng nặng hoặc bệnh nhân đang sử dụng một số loại thuốc gây ra tác dụng phụ.
Từ trường hợp trên bác sĩ khuyến cáo cộng đồng cần chủ động các giải pháp kiểm soát bệnh lý nền, tránh biến chứng nguy hiểm có thể xảy ra. Nhóm bệnh nhân bị nhồi máu cơ tim cấp tình trạng rất nặng, có thể tử vong nhanh hoặc để lại biến chứng nặng nề, do đó người bệnh cần nhập viện sớm khi có biểu hiện đau ngực bất thường để được bác sĩ chẩn đoán, điều trị kịp thời.


