Ngày 26/5 BS Phạm Thị Vân Thanh, khoa Nội soi, Bệnh viện Chợ Rẫy cho biết tại đây vừa gắp thành công dị vật là mảnh xương ống heo (dài 5cm) cho bệnh nhân H.V (50 tuổi, quê Kiên Giang).
![]() |
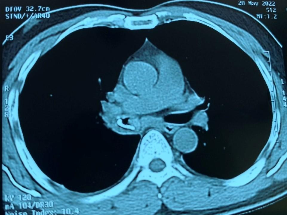
| Kết quả kiểm tra hình ảnh ghi nhận dị vật nằm ở phế quản của người bệnh |
Người bệnh đến thăm khám tình trạng ho ra máu và có mủ. Khai thác bệnh sử của bác sĩ ghi nhận, khoảng 20 năm trước khi đang ăn thì bệnh nhân bị sặc. Sau đó, người bệnh có cảm giác tức ngực, ho nhiều đã đến thăm khám tại cơ sở y tế địa phương, được chụp X-quang phổi nhưng không phát hiện dị vật.
Các bác sĩ đã điều trị nội khoa nhưng tình trạng bệnh không cải thiện, người bệnh có biểu hiện ho ra máu kèm theo mủ. Suốt 20 năm qua, bệnh nhân liên tục đi khám ở nhiều cơ sở y tế bởi tình trạng ho ra máu lặp đi lặp lại nhưng không tìm được nguyên nhân. Để chống chọi lại những cơn ho, bệnh nhân phải sử dụng kháng sinh, kháng viêm kéo dài.
Tuy nhiên, gần đây tình trạng ho ra máu ngày càng trầm trọng hơn, bệnh nhân đến một bệnh viện tại TPHCM thăm khám, được bác sĩ chỉ định chụp phim phổi. Hình ảnh kiểm tra cho thấy bệnh nhân có tình trạng viêm phổi, hậu tắc nghẽn. Kết quả CT phát hiện người bệnh có dị vật ở phế quản. Bệnh nhân được nội soi gắp dị vật 2 lần nhưng không thành công nên được chuyển đến Bệnh viện Chợ Rẫy.
![]() |
| Sau nhiều nỗ lực, các bác sĩ đã kéo thành công dị vật ra khỏi cơ thể bệnh nhân |
BS Phạm Thị Vân Thanh cho biết, vị trí mảnh xương nằm khuất sau bóng tim là nguyên nhân 20 năm qua bác sĩ không thể nhìn thấy dị vật trên phim X-quang. Mảnh xương sắc nhọn, cắm sâu vào thành phế quản suốt 20 năm đã mọc rất nhiều mô hạt nên việc nội soi gắp dị vật rất khó khăn.
Sau khi kiểm tra kỹ và loại trừ nguy hiểm đứt động mạch có thể xảy ra, ê kíp bác sĩ đã quyết định thực hiện nội soi gắp dị vật. Sau 4 lần nỗ lực thực hiện thủ thuật các bác sĩ đã kéo thành công mảnh xương dài tới 5cm ra khỏi phế quản của người bệnh.
Đây là dị vật bỏ quên lâu năm nhất được ghi nhận từ trước đến nay tại Bệnh viện Chợ Rẫy. Để tránh nguy cơ hóc sặc dị vật, BS Thanh Vân khuyến cáo cộng đồng hạn chế cười nói, đùa giỡn trong quá trình ăn uống. Những món ăn có sử dụng nước súp hầm từ xương thì cần kiểm tra kỹ để phòng ngừa các mảnh xương còn sót lại trước khi sử dụng.

