Ngày 28/9, thông tin từ BS Lê Duy Lạc, Phó khoa Hồi sức tim mạch, Bệnh viện Thành phố Thủ Đức cho biết tại đây vừa can thiệp kịp thời cứu sống bệnh nhân bị nhồi máu cơ tim cấp trên nền bệnh COVID-19.
![]() |
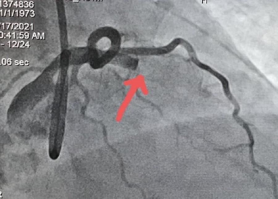
| Các bác sĩ đã thực hiện thông tim can thiệp cấp cứu cho người bệnh mắc COVID-19 bị nhồi máu cơ tim cấp |
Trước đó, bệnh nhân Đào Quang D. (48 tuổi) được chuyển đến bệnh viện dã chiến Bình Minh trong tình trạng khó thở với kết quả dương tính với COVID-19. Kết quả kiểm tra, tại Bệnh viện Dã chiến bác sĩ xác định ngoài tình trạng mắc COVID-19 bệnh nhân đã bị nhồi máu cơ tim cấp.
Ngay lập tức, người bệnh được chuyển đến Bệnh viện Thành phố Thủ Đức để điều trị hồi sức chuyên sâu. Tại đây, các bác sĩ nhận định đây là tình trạng nhồi máu cơ tim cấp rất nặng, chức năng co bóp tim còn 20% (bình thường > 50%).
Bệnh nhân được chuyển xuống phòng thông tim can thiệp chụp mạch vành. Hình ảnh kiểm tra ghi nhận người bệnh bị tắc hoàn toàn nhánh động mạch vành liên thất trước bên trái (nhánh động mạch vành lớn nhất tim). Ngay sau đó, bệnh nhân nhanh chóng rơi vào tình trạng huyết áp tụt rất thấp, ngưng tim. Ê kíp bác sĩ và điều dưỡng bất chấp rủi ro lây nhiễm, nỗ lực hồi sức tim phổi cho bệnh nhân ngay trong phòng thông tim.
Sau 15 phút nỗ lực hồi sức, bệnh nhân có nhịp tim trở lại dưới sự hỗ trợ của máy thở, sử dụng thuốc nâng nhịp tim. Khi các chỉ số sinh hiệu tạm ổn định, ê kíp bác sĩ tiếp tiếp tục thông tim đặt stent thành công, khơi thông mạch vành bị tắc nghẽn. Sau 2 giờ khẩn trương trong phòng thông tim can thiệp, các bác sĩ đã giúp bệnh nhân vượt qua được cơn nguy cấp.
![]() |
![]() |
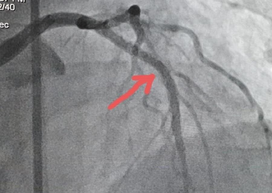
| Hình ảnh động mạch vành của bệnh nhân trước và sau khi được thông tim đặt stent |
Tuy nhiên, sau can thiệp bệnh nhân rơi vào tình trạng hôn mê phải thở máy phải dùng thuốc vận mạch liều cao. Tình trạng bệnh nhân, diễn biến xấu hơn sau can thiệp xuất hiện dịch khoang màng ngoài tim lượng nhiều làm huyết áp tụt sâu đe dọa ngưng tim. Các bác sĩ đã phải cấp cứu, chọc hút khoảng 500ml dịch trong khoang màng ngoài tim cho bệnh nhân.
Sau 5 ngày hồi sức tích cực nhịp tim người bệnh ổn định dần, huyết áp tốt lên, bệnh nhân tỉnh táo và rút được ống nội khí quản. Sau 10 ngày điều trị cả tình trạng nhồi máu cơ tim, cả tình trạng nhiễm COVID-19 sức khỏe bệnh nhân đã bình phục tốt, đủ điều kiện xuất viện.
Bác sĩ Nguyễn Thái Anh - khoa Hồi sức tim mạch, Bệnh viện thành phố Thủ Đức, người trực tiếp can thiệp mạch vành cho bệnh nhân chia sẻ: "Có những thời điểm nếu chậm vài phút thì cơ hội sống của người bệnh sẽ qua đi vĩnh viễn, may mắn là bệnh nhân đã hồi phục một cách thần kỳ".
"Xin chân thành cảm ơn các y bác sĩ đã tận tình mang tôi trở về từ cõi chết" – bệnh nhân Quang D. xúc động gửi lời cảm ơn y bác sĩ trước khi xuất viện.


