Đó là trường hợp của bệnh nhi B.V.T.H. (5 tuổi, ngụ tại huyện Bình Chánh, TPHCM) vừa được tiếp nhận, can thiệp tại Bệnh viện Hoàn Mỹ Sài Gòn. Ngày 5/5 thông tin từ BS Lâm Lê Phương, Trưởng khoa Nhi cho biết, thời điểm đến thăm khám, trẻ có biểu hiện mệt, chảy nước mũi, hơi thở có mùi rất hôi.
![]() |
| Dị vật đường thở là tình huống thường gặp ở trẻ em, phụ huynh cần nhận biết, phát hiện sớm |
Khai thác bệnh sử của bác sĩ từ phía gia đình ghi nhận, khoảng 2 tháng trước, bệnh nhi có biểu hiện sổ mũi bên trái. Gia đình đã đưa đi thăm khám và cho uống thuốc điều trị viêm mũi nhưng không khỏi. Gần đây, tình trạng của bé ngày càng diễn tiến nặng, không đáp ứng với thuốc điều trị.
Sau khi thăm khám, không phát hiện được nguyên nhân, các bác sĩ đã tiến hành nội soi mũi kiểm tra. Hình ảnh trên camera nội soi phát hiện mũi trái của bệnh nhi có dị vật nằm sâu bên trong đã gây nhiễm trùng, tạo mủ. Các bác sĩ đã gắp thành công ra ngoài một cọng dây thun buộc tóc. Sau nội soi, bệnh nhi đã được điều trị nội khoa, hiện sức khỏe đã ổn định, không còn chảy nước mũi, hơi thở hết mùi hôi.
Từ trường hợp trên, bác sĩ khuyến cáo, dị vật mũi là bệnh thường gặp trong cấp cứu Tai Mũi Họng, đặc biệt là ở trẻ em. Một số trường hợp dị vật kẹt trong mũi có khả năng di chuyển xuống miệng khiến trẻ nuốt vào đường tiêu hóa hoặc hít vào đường thở gây tắc nghẽn, nguy hiểm đến tính mạng.
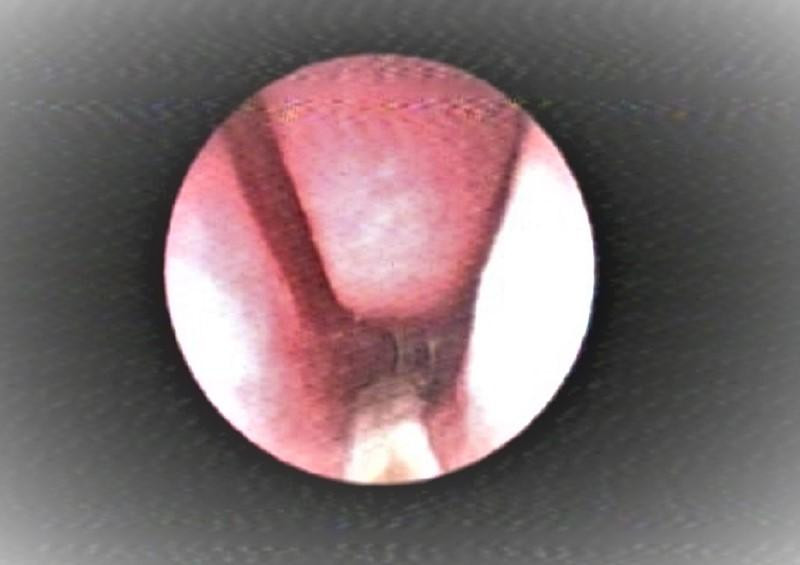
![]() |
| Hình ảnh sợi dây thun cột tóc được bác sĩ phát hiện trong mũi bệnh nhi qua nội soi |
Trường hợp dị vật trong mũi bị “bỏ quên” sẽ gây viêm loét mũi, viêm mũi xoang. Với những dị vật có chứa hóa chất, như pin điện tử cần lấy ngay trong vòng 4 giờ. Nếu để lâu, sẽ gây loét niêm mạc, chảy máu, thủng vách ngăn mũi, gây sẹo lồi.
Khi thấy trẻ có các biểu hiện nghi ngờ dị vật như chảy mũi một bên, tiết chất nhầy, gây chảy nước mũi, có mùi hôi, chảy máu mũi, nghẹt và đau mũi một bên, sốt, ngứa mũi, hắt xì, ngủ ngáy, thở có tiếng rít ở mũi… phụ huynh cần nhanh chóng đưa đến bệnh viện để được thăm khám, hỗ trợ điều trị sớm.

